Beginn einer umfangreichen funktionstherapeutischen Rekonstruktion eines Patienten aus Ostholstein
Nach über 20 Jahren erfolgt eine Neuversorgung
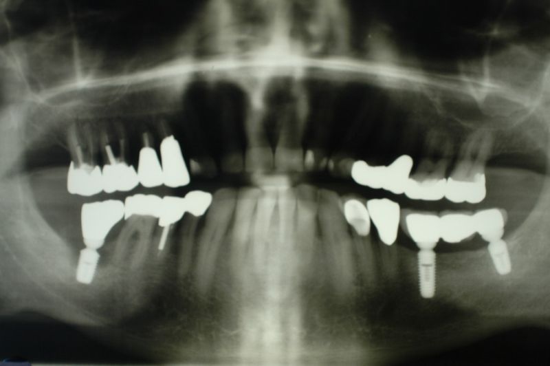
Vor ca. 20 Jahren wurde der Patient umfassend funktionstherapeutisch versorgt. Bereits zum damaligen Zeitpunkt waren die Zähne des Patienten vorgeschädigt und es lag eine Parodontalerkrankung vor.
Der Patient wurde dann über etliche Jahre, was das Thema Parodontalrecall betrifft nicht ganz optimal betreut, weil die berufliche Situation des Patienten das nicht zuließ.
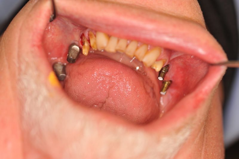
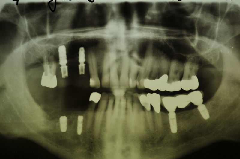
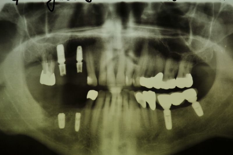
In der Zwischenzeit sind vorgeschädigte Zähne verloren gegangen und wurden zum Teil durch Implantate ersetzt.
Über eine mehrjährige Phase wurden immer wieder Laborgefertigte Dauerprovisorien eingegliedert, weil vor einer abschließenden funktionstherapeutioschen Behandlung erst noch andere Problemzonen beseitigt werden mussten.


