CMD-Patientin aus dem Münsterland beginnt mit der definitiven Rekonstruktion
13956
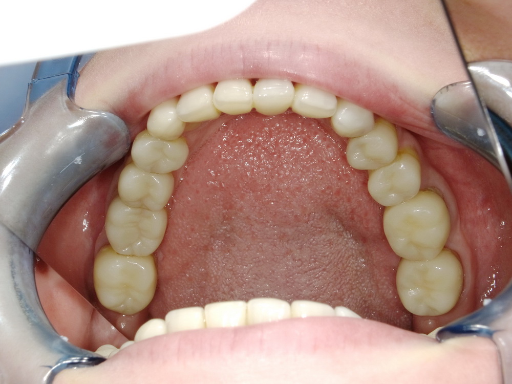
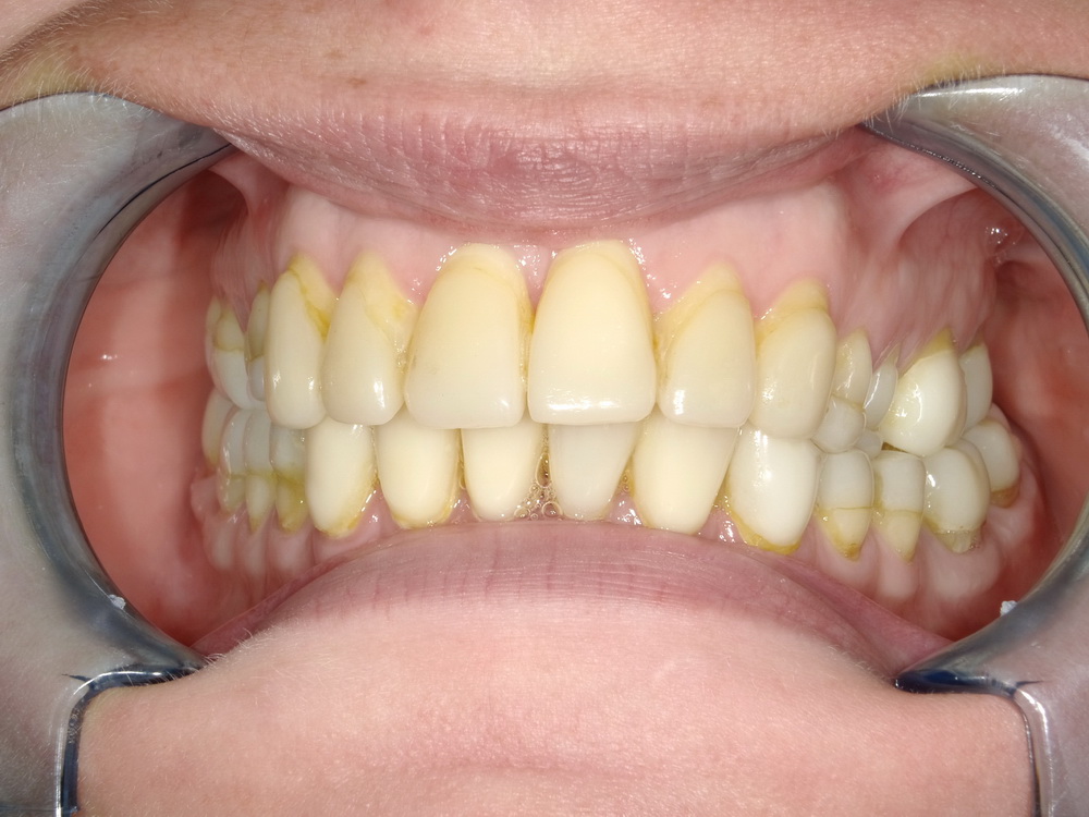
Nach mehreren Monaten Erprobungszeit der funktionstherapeutisch eingestellten Bisslage beginn nunmehr die Umsetzung der Versorgung mit Laborgfertigten Dauerprovisorien in eine Versorgung mit definitiven zahntechnischen Kronen.
Die neue Versorgung beginnt mit der Entfernung der Dauerprovisorien im Unterkieferseitenzahnbereich.


