CMD-Patientin aus Ostholstein beginnt mit der definitiven Rekonstruktion
13981
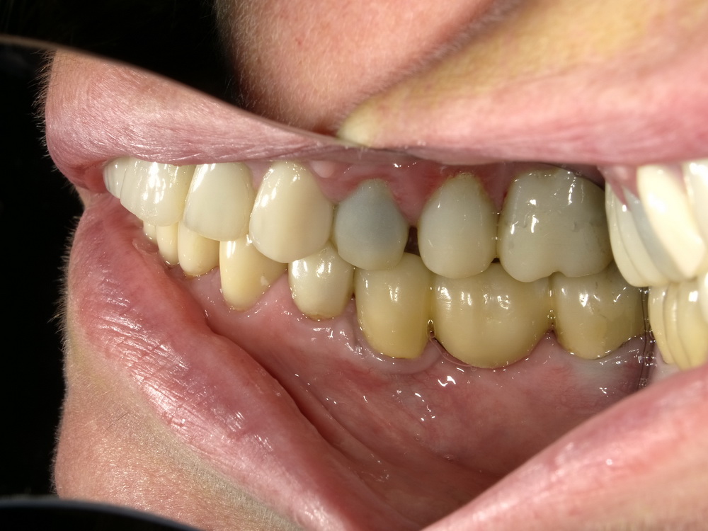
Nach mehreren Monaten Erprobungszeit der funktionstherapeutisch eingestellten Bisslage beginn nunmehr die Umsetzung der Versorgung mit Laborgfertigten Dauerprovisorien in eine Versorgung mit definitiven zahntechnischen Kronen.
Die neue Versorgung beginnt mit der Entfernung der Dauerprovisorien im Unterkieferseitenzahnbereich.


