CMD-Patientin ausdem Schaumburger Land beginnt mir der Funktionstherapie
14023
Nun soll es losgehen, was in den vergangenen Monaten systematisch vorbereitet wurde.
Es beginnt mit der Versorgung der Oberkieferseitenzähne mit Laborgefertigten Dauerprovisorien.
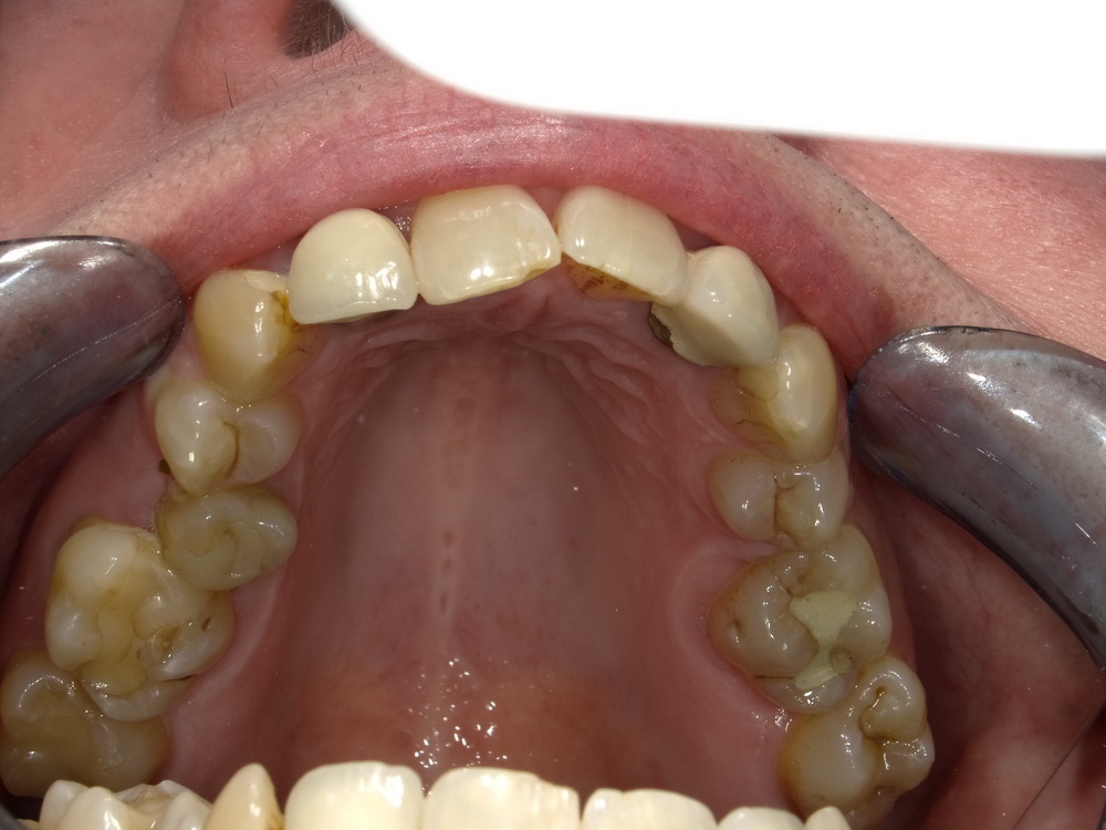
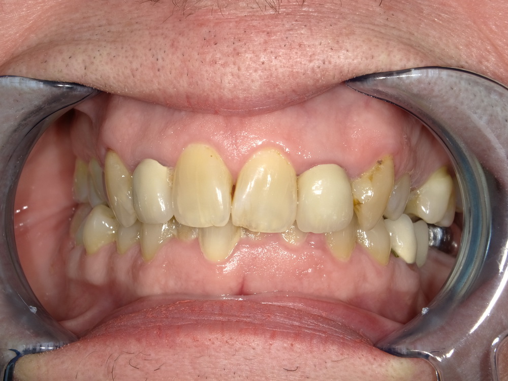
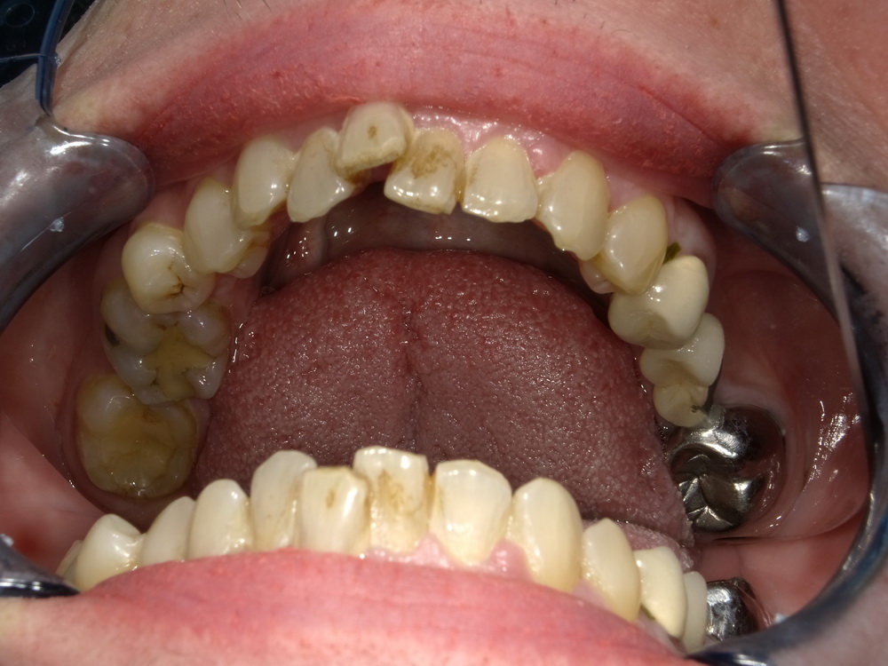
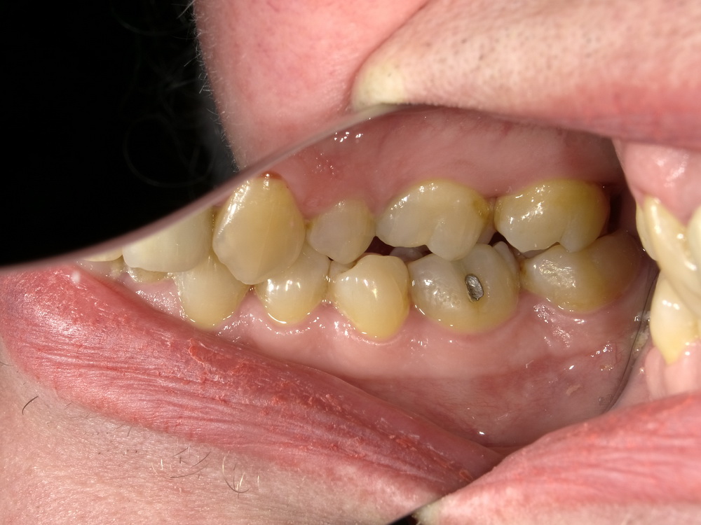
Das war der Zustand im September 2025.


