Der Fall des Frederik B.
13082
Manchmal glaubt man ja, es ginge nicht schlimmer, und dann kommt so etwas.
Ein Herr Frederik B. meldet sich erst bei Google und nachfolgend dann auch noch bei Jameda.
Natürlich ist man aufgeschreckt, wenn man derartiges liest und beginnt zu überlegen, denn auch in einem CMD CENTRUM gibt es nicht viele Fälle, die mit den hier beschriebenen Umständen korrelieren könnten.
Nur relativ schnell kommt man zu der Erkenntnis, dass es einen Fall, wie den hier beschriebenen schlichtweg nicht gibt.
Das hängt u.a. damit zusammen, dass es nur alle paar Jahre mal vorkommt, dass ein Patient die Behandlung mit Laborgefertigten Dauerprovisorien beendet.
Meist übrigens aus finanziellen Gründen und weil es dem Patienten mit den Dauerprovisorien gut geht und der Patient nun meint, dabei könne man es ja dann auch belassen.
So scheint es asucvh hier zu sein.
Hier liegt der Fall aber nun noch anders und ist zudem auch bereits im Internet BLOG des CMD CENTRUM KIEL dokumentiert unter der Fallnummer 13082.
In der Patientenakte liest sich das allerdings alles ganz anders, als hier beschrieben.
So steht u.a. mit Datum vom 01.02.2016:
„Vor circa eindreiviertel Jahren war der Patient erstmalig hier. Erhielt einen adjustierten Aufbissbehelf und praktisch über Nacht waren die Beschwerden verschwunden.
Einzig allein die prognostizierten Kosten einer funktionstherapeutischen Behandlung führten dazu, dass der Patient sich erst einmal zurück gezogen hat.
Der Aufbissbehelf hat dann gute sechs Monate zur vollkommenen Beschwerdefreiheit geführt.
Dann wollte der Patient etwas Neues probieren und suchte eine anderes CMD-Zentrum auf. Hier erhielt er einen neuen Aufbissbehelf, der nicht nur zu nichts führte, sondern vom Patienten von Beginn als "untragbar" empfunden wurde. Es erfolgte eine Korrektur des Aufbissbehelfs und der Hinweis es müsse nun begleitend Physiotherapie erbracht werden.
Das leuchtete dem Patienten nicht ein, wusste er doch von seinem damaligen Aufbissbshelf, dass dieser ohne jedes Begleitwerk innerhalb von 24 Stunden zur Beschwewrdefreiheit geführt hatte.
Nun ist der Patient wieder da und es beginnt von Neuem ein Nachweisverfahren einer CMD mit Hilfe eines adjustierten Aufbissbehelfs.“
Am 30.11.2015 hatte der Patient sich erstmalig im CMD CENTRUM KIEL vorgestellt und zwar mit folgenden Beschwerden:
„Der Patient aus Berlin beklagt als Hauptsymptom starke Rückenbeschwerden, die sich vom Nacken bis in den Lendenwirbelsäulenbereich erstrecken.
Beschwerdelevel "7-10", heute "8", vor Eingliederung des adjustierten Aufbissbehelfs zum Nachweis einer CMD.
Daneben bestehen Kopf- und Gesichtsschmerzen, Verspannungen im Gsichtsbereich und Sensibilitätsstörungen im Wangenbereich, beidseitig.
Seit 2010:
Ohrgeräusche
Morgentlich fester Biss
Schlechtes Hören
Seit 2012:
Patient sucht seinen Biss
Seit 2013:
Ziehen in beiden Armen
Kribbeln in den Fingern
Schwindel
Schluckbeschwerden
Augenlidzucken
Unerklärliche Beschwerden in den Kiefern
Unerklärliche Sehstörungen: Mal erkennt der Patient das Tafelbild im Hörsal und mal nicht. Augenärztlich ist alles ok!
Der Patient hatte noch nie das Gefühl einer Inneren Mitte! Er schläft nachts drch, hat aber morgens das Gefühl wie gerädert aufzuwachen.
Der Patient erhält um 17:40 einen adjustierten Aufbissbehelf. Beschwerdelevel: 8.
Um 18:20 beschreibt der Patient: Er habe ein Gefühl sein Leben sei heller geworden. In allen Gelenken am Körper knacke es. Er könne tiefer atmen und habe das Gefühl einer Befreiung. Beschwerdelevel: "4".“
Am 02.02.2016 berichtet der Patient dann:
„Dem Patienten geht es besser. Senkung des Beschwerdelevels von "3" auf "2".
Der Halsschulternackenbereich ist deutlich entspannt.
Das Wichtigste aber: Der Patient hat das Gefühl er habe einen Biss!
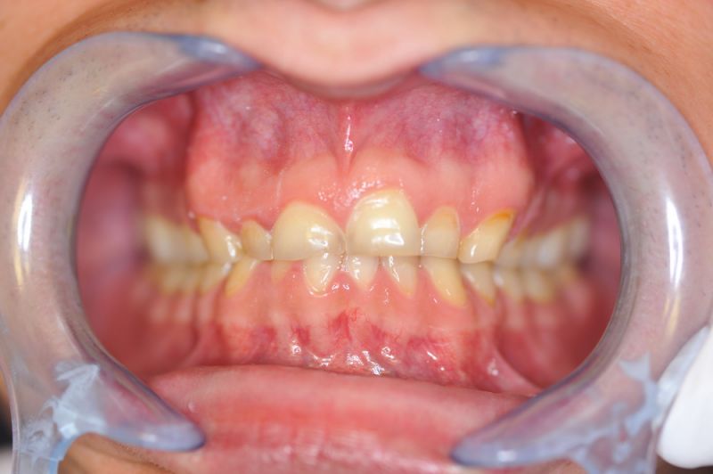
In der Folge dann wird eine Instrumentelle Okklusionsanalyse durchgeführt und nachfolgend nach Erstellung umfangreicher Behandlungsplanungen die Einstellung der Bisslage mit Laborgefertigten Dauerprovisorien.
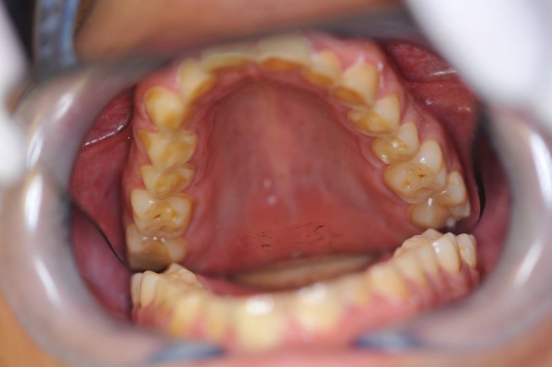
In dem Zusammenhang erfolgt dann übrigens auch gleich die Genehmigung eines Festkostenzuschusses durch die Gesetzliche Krankenversicherung, weil die Zähne des Patienten durch jahrelange parafunktionelle Fehlbelastungen in weiten Teilen zerstört sind, wie man den zur Beweissicherung dokumentierten Fotos unzweifelhaft erkennen kann.
Nun ist man aber noch durch andere Angaben des Frederik B. aufgeschreckt, die da lauten:
"Fall 184
Leitbefunde:
Situation einer seit dem 24. LJ zunehmenden Beschwerdesituation mit einer sich dramatisch zuspitzenden Situation, weil der Patient die Beschwerden nur noch durch regelmäßige Alkoholeinnahme zu dämpfen vermag
Patientenidentifikation: 13082
Geschlecht: männlich
Region Wohnort: Berlin
Erstvorstellung im „CMD-Centrum-Kiel“: 07.04.2014
Alter zum Zeitpunkt der ersten Vorstellung im „CMD-Centrum-Kiel“: 29 Jahre
Behandlungszeitraum Funktionsdiagnostik/-therapie: 07.04.2014- heute
Beschwerden vor Beginn der Behandlung im „CMD-Centrum-Kiel“:
- Seit dem 24. LJ zunehmende Beschwerden
- Beschwerden sind inzwischen so stark, dass der Patient seit ca. 2. Monaten vermehrt Alkohol zu sich nimmt, um die Schmerzen aushalten zu können
- Sehr starke Rückenschmerzen seit 2008
- Starke Verspannungen in beiden Wangenbereichen
- Extrem abradierte/erodierte Zähne, alle
- Schon "ewig" Kiefergelenkgeräusche
- Kieferorthopädische Behandlung in der Jugendzeit
- Gefühl der Biss stimme nicht
- Inzwischen 3 Schienen, ohne Wirkung!
- Seit 2008 Ziehen in beiden Armen
- Vorübergehend Schwindel, zur Zeit nicht
- Halsschulternackenbeschwerden seit 2008
- Taubheit in beiden Beinen
- Seit ca. 3 Wochen hat der Patient seine innere Mitte verloren: Alkoholbedingt
- Seit ca. 2008 sucht der Patient seinen Biss
- Morgens wie gerädert, Regenerationsstörungen
- Seit 2008 nimmt der Patient Zähneknirschen/pressen wahr
- Beschwerdelevel: Auf einer Skala von "0-10": 5
- Einschränkung der Leistungsfähigkeit auf einer Skala von "0-10": 9-10
- Gefühl der Biss stimme nicht
Besonderheiten des Behandlungsfalles:
Der Patient zeigt keinerlei zahnärztliche Versorgungen.
07.04.14: Eingliederung eines Adjustierten Aufbissbehelfs. Nach 15 Minuten Tragezeit: Reduzierung des Schmerzlevels von 5 auf 3. Patient gibt an, am Kopf entspanne sich alles.
08.04.14: Beschwerdelevel:2, Aufbissbehelf sitzt gut, Patient ist überrascht und zufrieden. Prüfung der weiteren Vorgehensweise durch den Patienten. Heute Morgen kein Alkohol notwendig!
Selbst für einen Laien ist unschwer zu erkennen, dass die Zähne, und zwar ausnahmslos alle Zähne, schwerstens abradiert und damit geschädigt sind. Und zwar durch die jahrelange Fehlnutzung der vorhandenen Zähne durch den Patienten, bevor er die Behandlung in Kiel aufgesucht hatte.
Das bedeutet aber, dass die Zähne des Patienten nicht durch ein Schleiftrauma geschädigt wurden, sondern bereits durch den Patienten derart stark geschädigt waren, dass diese äußerst mühsam wieder aufgebaut werden mussten.
Aber, das ist nur eine der vielen Unwahrheiten in der Rezension des Frederik B.
Richtig überrascht dürfte der Leser nun aber sein, wenn er hört wie die Geschichte dann im Jahr 2016, nach Einstellung der Bisslage mit Laborgefertigten Dauerprovisorien weiter gegangen ist.
Der Patient hatte nämlich seinen Job bei der Deutschen Bundesbahn in Berlin aufgegeben und ist dann in die Revisionsabteilung der Firma Mercedes Benz nach Stuttgart gewechselt.
Damit hatte er aber keine kostenlose Bahncard mehr und musste seine Reisekosten selbst zahlen.
Dazu kam, dass der Patient schlichtweg keine Geld hatte.Dieses Thema zog sich wie ein roter Faden durch die gesamte Behandlung des Patienten und wurde auch intensiv diskutiert. U.a. weil es im Rahmen der umfangreichen rekonstruktiven Behandlung zu einer Kostenüberschreitung um ca. 3% gekommen war.
Dass der Patient, anamnestisch bekannt, bereits vor Beginn der Behandlung regelmäßig Alkohol konsumierte, war bekannt und da man aus der Google Rezension erkennen konnte, dass Fredrik B. diese Rezension am 27. August um 03.00 nachts veröffentlich hatte, muss man wohl davon ausgehen, dass Fredrik B. nach inzwischen fast vier Jahren Tragezeit der Laborgefertigten Dauerprovisorien inzwischen wieder nachts mich Scherzen alkoholisiert vor seinem PC sitzt.
Möglicherweise aber auch deshalb, weil die möglicherweise in Stuttgart durchgeführte definitive Restauration nicht ganz mit dem tollen Ergebnis abgeschlossen werden konnte, wie Herr Frederik B. das hier im Internet verkündet.
Denn eines kann auf gar keinen Fall stimmen:
Ein Patient mit Laborgefertigten Dauerprovisorien wird nicht bei einem „Kassengutachter“ vorgestellt. Warum?
Weil der Antrag für die Versorgung mit definitiven Kronen, für die es einen Kassenzuschuß gibt, bereist richtliniengemäß vor der Versorgung der Zähne mit Laborgefertigten Dauerprovisorien gestellt werden muss.
Das wurde im CMD CENTRUM KIEL auch genauso so gemacht.
Wenn aber die Behandlung einmal genehmigt wurde, und das wurde sie von der IKK Brandenburg/Berlin, dann wird dieser einmal genehmigte Behandlungsplan nur noch verlängert und nicht neu begutachtet, wie Herr Frederik B. hier darlegt.
Aber auch das wäre noch nicht wirklich erhellend, gäbe es da nicht noch eine E-Mail des besagten Fredrik B., in der sich dieser ausführlich zum Behandlungserfolg des CMD CENTRUM KIEL äußert:
Schreibt er dort nämlich mit Datum vom Mittwoch 09.11.2016:
„Moin zusammen,
hmmm.....da ist wohl gestern was zwischen uns "schief" gegangen.
Ich bin wirklich traurig. Denn wenn ich ein wenig zurück denke und meine Zähne heute mit damals vergleiche, sehe ich dass die Behandlung bei Ihnen bisher sehr erfolgreich war.
Ich wollte gestern eigentlich nur sagen, dass ich für die Behandlung spare, weil ich einfach nirgendwo ein paar tausend Euro herumliegen habe.
Deshalb ist es mir wichtig dass ich mich - wenn es nicht zu irgendwelchen unvorhergesehenen Komplikationen kommt - auf die Heil - und Kostenpläne verlassen kann. Für die Dauerprovisorien haben mich die 700 Euro Differenz schon in Bedrängnis gebracht.
Meine Sorge war, dass bei den entgültigen Zahnkronen auch noch einmal ordentlich was "drauf" kommt.
Darauf hatten wir uns ja auch schon verständigt und ich fand es gut, dass Sie schauen wollten, wie es denn zu der Differenz gekommen ist.
Leider habe ich Sie wohl mit dem Begriff "seriöse Kostenplanung" auf die Palme gebracht - weil er unterstellt, dass Ihre Kostenplanung nicht seriös ist.
Das war nicht meine Absicht. Ich hatte aber auch nicht mehr die Gelegenheit das gerade zu rücken.
Also heute ein "Sorry" dafür.
Ja.....nicht so gut gelaufen.
Was machen wir denn jetzt?
Ich hatte das Gefühl, dass Sie mich in Ihrer Praxis nicht mehr sehen wollen.
Ich fände es auf jeden Fall schade wenn wir es nach dem bisher so guten Ergebnis nicht mehr "hinbekommen" würden.
Viele Grüße aus Berlin
Frederik B“
Was verbleibt nun als Quintessenz dieser Hass und Hetzrezension des Fredrik B. stehen?
Der Patient wurde hier im CMD CENTRUM KIEL vor guten vier Jahren rekonstruiert.
Das Letzte, was man von dem Patienten hörte war, dass es sich um einen guten Behandlungserfolg gehandelt habe.
Was dann in den vergangenen vier Jahren in Stuttgart passiert sein mag, kann man nur erahnen.
Wenn die angesprochene definitive Behandlung mit dem großen Erfolg abgeschlossen worden wäre, warum sollte der Patient dann nach vier Jahren eine derart schlechte Rezension in der Sache abgeben?
Man muss wohl vermuten, dass der Patient bis heute nicht das Geld für eine definitive Versorgung aufgebracht hat.
Dafür spricht, dass Laborgefertigte Dauerprovisorien derartige Belastungszeiten nicht durchhalten und es daher ganz normal wäre, dass der Patient inzwischen wieder starke Beschwerden hat.
Wenn aber eine abschließende definitive Versorgung mit dem Erfolg durchgeführt worden wäre, den der Patient in seiner Rezension beschreibt, warum sollte der Patient sich dann an einem Samstagmorgen um 03:00 hinsetzen und eine derartige Rezension schreiben?
Man muss wohl davon ausgehen, dass der Patient, mit seinen materialermüdeten Dauerprovisorien, die für einen Einsatzzeitraum von 6 bis 9 Monaten vorgesehen waren, so wie vor seiner Behandlung im CMD CENTRUM KIEL erneut alkoholisiert und mit Schmerzen, nachts vor seinem PC sitzt und sich vor Schmerzen windet und seinen Frust über seine Situation damit abarbeitet , in dem er den alten Behandler in Kiel und dessen erfolgreiche Behandlung in den Dreck zieht.
Dass der Patient sich dabei nicht im Griff hat, hat er schon seinerzeit dokumentiert, als es ihm geradezu unbegreiflich erschien, dass eine umfangreiche Behandlung sich nicht besser, als auf 3% Abweichung vom Kostenvoranschlag planen ließ und sich dann nachfolgend umfangreich per E-Mail entschuldigte, weil es bei einer persönlichen Besprechung zu einer verbalen Entgleisung des Herrn Frederik B. in der Sache gekommen ist.
Was soll man einem derartigen Patienten nun wünschen?
Gar nichts! Die Chance zur Behandlung und Beseitigung der Beschwerden war da. Dass der Patient dann nachfolgend die Behandlung nicht bis zum erfolgreichen Abschluss hat fortführen können, kann viele Gründe haben.
Aber eines kann überhaupt nicht sein: Dass ein Patient, der sich hier hilfesuchend in Kiel zur Behandlung vorgestellt hatte, und dem man belegbar helfen konnte, sich heute, vier Jahre danach, ins Internet stellt und dort laut hinausposaunt, man solle „da“ (CMD CENTRUM KIEL) nicht hingehen, das gehört sich einfach nicht Herr Frederik B.
Was natürlich zudem ungewöhnlich ist, dass man sogar zu belegen vermag, was Herr Frederik B hier an Lügen verbreitet.
Selbst Alkohol ist hier keine Entschuldigung für ein derart charakterloses Verhalten eines ehemaligen Patienten.


