Ein neuer Patient aus Bielefeld
13561
Der Patient hat von einem CMD Spezialisten in Bielefeld einen Aufbissbehelf erhalten. Den hat der Patient mit Zellstoff unterfüttert, weil der Aufbissbehelf so unterschiedlich hoch war, dass der Patient es vor Schmerzen mit dem Aufbissbehelf nicht ausgehalten hat.
Der Patient hat in den Jahren 2012-2014 eine kieferorthopädische Erwachsenenbehandlung durchführen lassen.
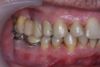
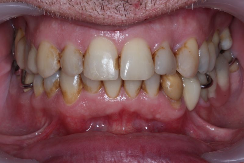
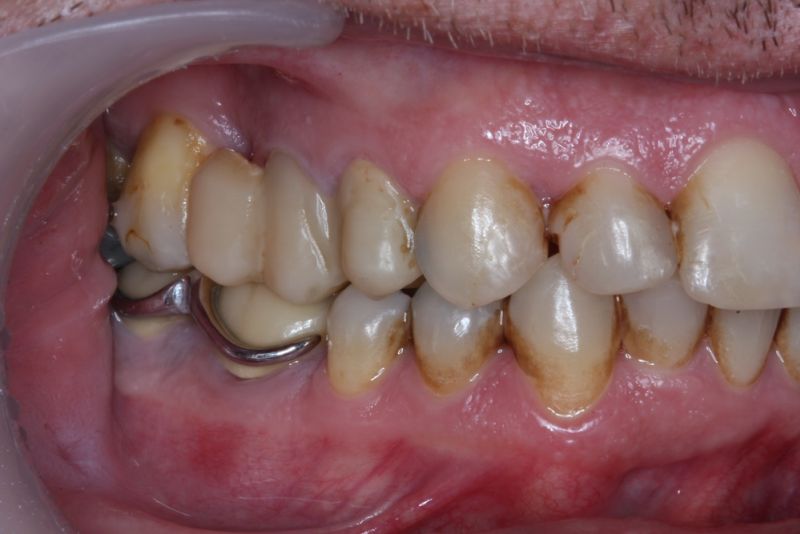
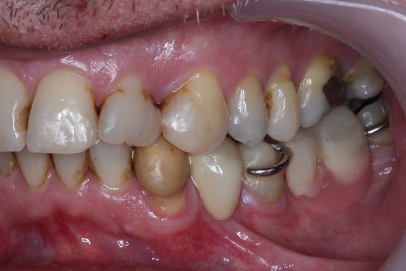
Das Leistsymtom des Patientien sind stechende Schmerzen in der linken Gesichtshälfte.
Die Beschwerden bestehen eigentlich seit 30 Jahren!
Seit Ende 2016 ist es richtig schlimm geworden.
Der Beschwerdelevel liegt bei 7-8.
Duch die Maßnahmen des Patienten: Unterfütterung des Aufbissbehelfs mit Zellstoff!!!! liegen die Beschwerden bei 3-4.
Es bestehen weiterhin Beschwerden an:
Schwankungen der Sehschärfe
Druck im linken Auge
Anschwellung und Rötung des linken Auges
Rückenschmerzen
Ohrgeräusche
Heiße Ohren
Der Patient sucht seinen Biss
Morgens wie gerädert
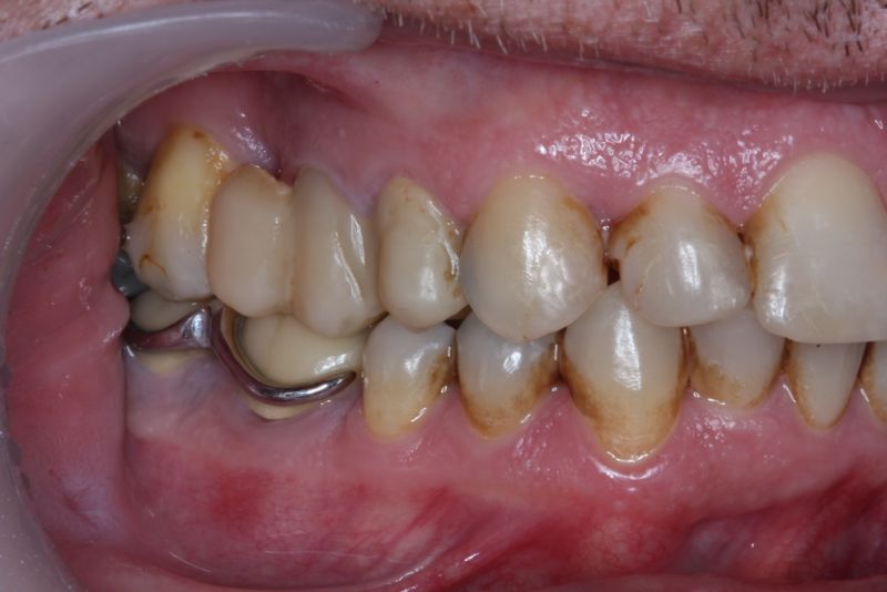
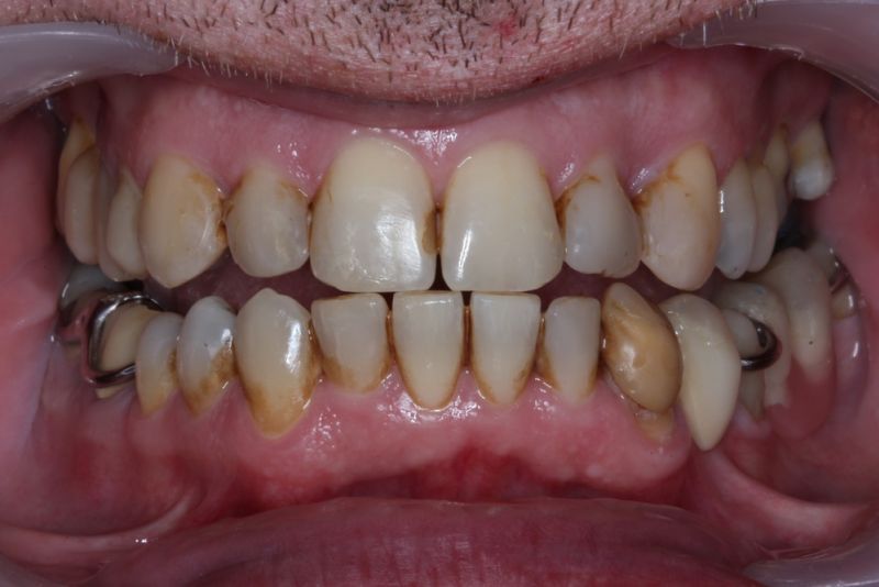
Nach Meinung des Patienten wurden im linen Unterkiefer mehrere Zähne, die vermeintlich schmerzten, nach der Entfernung bestanden die Beschwerden aber weiter.
Es erfolgt:
1. Erstuntersuchung
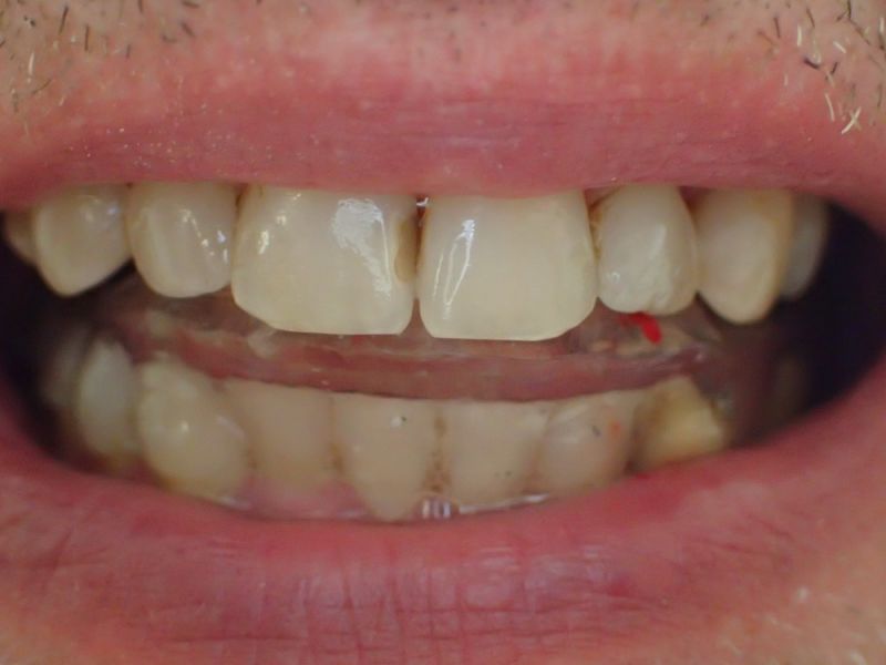
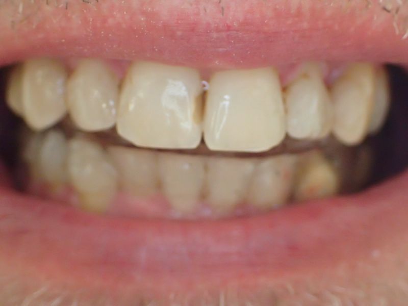
2. Herstellung und Eingliederung eines adjustierten Aufbissbshelfs
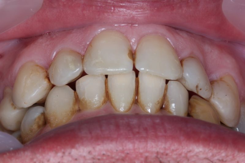
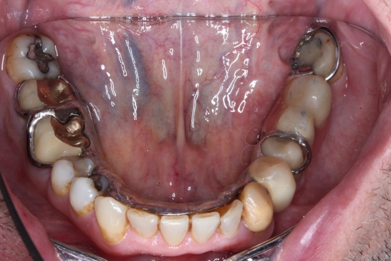
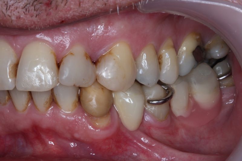
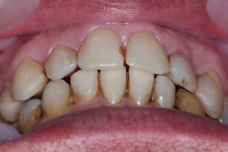
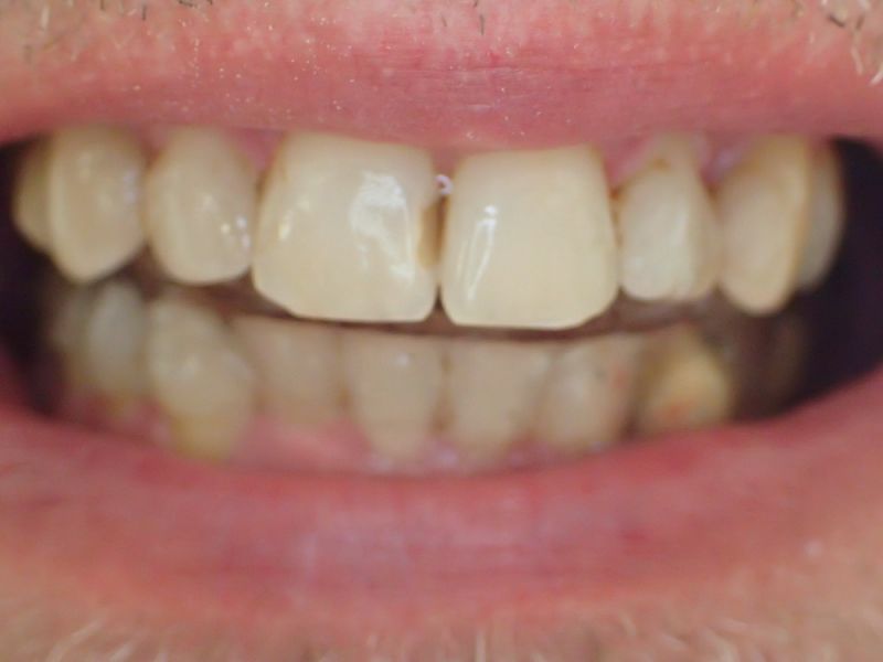
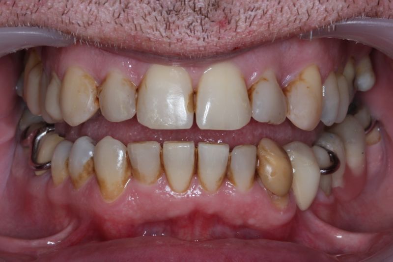
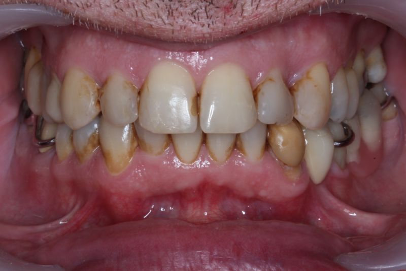
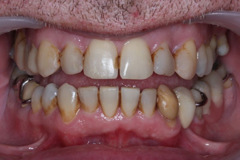
Erkennbar ist die massive Abweichung der habituellen Bisslage von der neuromuskulär zentrierten Bisslage.
Der Patient beschreibt ein Gefühl, da arbeite etwas in seinen Muskeln.


