Ein neuer Patient aus der Schweiz
13787
Das Leitsymptom der Patientin des Patienten lautet:
Die Beschwerden bestehen seit: 2008/2009
Die Besonderheit des Falles liegt in Dem Gefühl einer zunehmend eingeschränkten Lebensweise mit stark verminderter Leistungsfähigkeit.
Der Patient trägt seit 10 Jahren eine Wollmütze zum schlafen
Extreme Geruchsepmpfindlichkeit. Extreme Lichtempfindlichkeit. Extreme Geräsuchempfindlichkeit
Es bestehen folgende weitere Beschwerden:
Kopfschmerzen
Gesichtsschmerzen, rechtsseitig mehr
Wandernden Beschwerden in den Kiefern
Unerklärlichen Zahn-/Kieferbeschwerden
Beschwerden im Bereich der Jochbögen
Wiederkehrenden Problemen der Nasennebenhöhlen
Vermehrten Blähungen
Zugempfindlichkeit
Ziehen in den Armen
Kribbeln in den Fingern
Schwindel
Schluckbeschwerden/Kloßgefühl im Hals
Stress
Augenlidzucken
Beschwerden der Augen, Stiche Druck in/hinter den Augen
Unerklärlichen Sehstörungen
Halsschulternackenbeschwerden
Rückenschmerzen
Ohrgeräusche
Tinnitus
Morgendlich festem Biss
Ohrbeschwerden
„Watte im Ohr“ Gefühl
Verschlechterte Hörleistung
Beschwerden beim Sprechen/Artikulationsprobleme
Unruhe im Mund
Kaufunktion behindert
Kieferöffnung behindert
Kieferschluss behindert
Kiefergelenkgeräusche
Es besteht das Gefühl, dass
Die innere Mitte verloren gegangen ist: "Habe das Gefüg, ich stehe neben mir", "Ein Leben wie in einer Glaskugel"
Der Biss gesucht wird, der Biss passe nicht
Morgens wie gerädert
Zähneknirschen/pressen
Es wurden bisher erfolglos konsultiert:
HNO-Arzt
Augenarzt
Neurologen
Orthopäden
Physiotherapeuten
Osteopathen
Zahnarzt
Anderen Behandlern: Psychiater, Akupunkteur, Craniosacraltherapeut, Chiropraktiker, Gastroenterologe (zigfache Spiegelungen), 6 Wochen Rehaaufenthalt
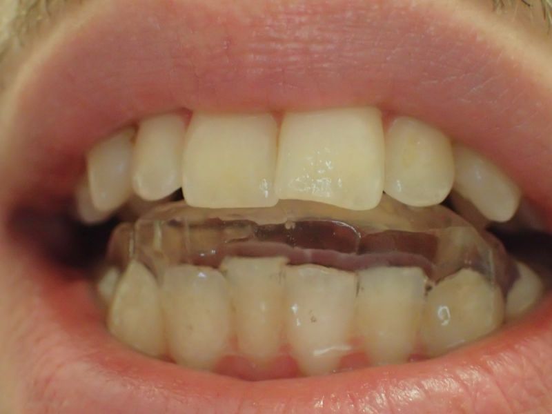
Es erfolgt die klinisch manuell provokative Erstuntersuchung und darüber hinaus die Maßnahmen zur Herstellung und Eingliederung eines adjustierten Aufbissbehelfs zum Nachweis einer CMD.
Bereits nach ca. 30 Minuten nach Eingliedeung des Aufbissbehelfs kommt es zu messbaren Veränderungen der Bisslage.
Im weiteren Verlauf dann zu muskulären Entspannungen.
Das Gefühl einen Biss zu haben ist für den Patienten sehr angenehm.
Der Beschwerdelevel fällt auf ca. 4.


