Ein neuer Patient aus Rostock der kaum noch schlucken kann zur Diagnose einer CMD
Das größte Problem des Patienten besteht darin, dass er kaum noch schlucken kann. Trinken ist nur in ganz kleinen Portionen möglich.
Dazu kommt, dass der Patient enorme Probleme hat zu sprechen, weil er kaum zu artikulieren vermag. Immer hat er Speichel und Schleim im Rachen und muss sich dauernd räuspern.
Fachärztliche Untersuchungen u.a. auch der Bronchien haben keinerler Erkenntis erbacht, wodurch diese Probleme verursacht sein könnten.
Alles begann so etwa 2009/2010. In diesem Zeitraum wurde der Patient auch auf einen schleimhautgestützten herausnehmbaren teilprothetischen Zahnersatz im Unterkiefer umgestellt.
Der Beschwerdelvel liegt bei "6-7", der Nervlevel bei "8".
Der Patient war so ziemlich bei jedem Facharzt, der in Deutschland als solcher gelistet ist!
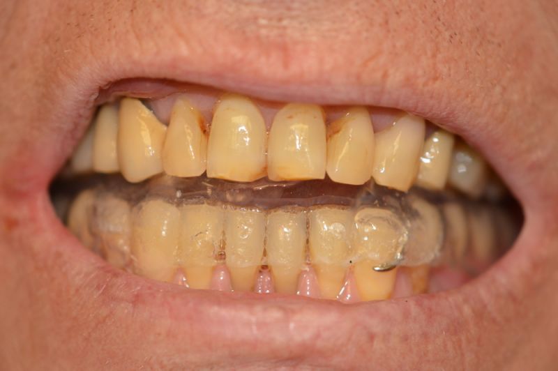
Die starke Abweichung von einer Normalokklusion ist selbst für einen Laien ohne Weiteres erkennbar.
Eine unglaublich schwierige Eingliederung eines adjustierten Aufbissbshelfs.
Die Bisslage hat sich nach der Eingliederung mehrfach und zwar massiv geändert. In der Form haben wir so etwas auch noch nie erlebt.
Stimmte eben noch die Okklusion, war diese Minuten später vollkomen anders und musste nachkorrigiert werden, was nachfolgend erneut zu einer Verschiebung der Bisslage führte.
Nach ca. eineinhalb Stunden schwerer Arbeit konnte dann eine neuromuskulär zentrierte stabile Bisslage eingestellt werden, die vom Patienten als ungewohnt und angenehm bewertet wurde.
So ähnlich sei es mal gewesen, bevor ihm 2009/2010 die hintern Backenzähne entfernt worden seien.


