Ein neuer Patient aus Ulm
13597
Der Patient ist arbeitunsfähig und musste seinen im eigenen Handwerk ausgeübten Laden und Lebensgrundlage verkaufen, weil es ihm nicht mehr möglich war im Stehen zu arbeiten. Die Beschwerden begannen bereits nach ca. einer Stunde Stehen. Im Konkreten besatanden die Beschwerden in unerträglichen Nackenschmerzen und einem auftretenden Schwindel
Auf den ersten Blick ein Thema für den Orthopäden. Dort war der Patient auch, nur hat der Orthopäde keine Probleme im Stützapparat des Patienten feststellen können, den Patienten aber auf das Thema CMD aufmerksam gemacht.
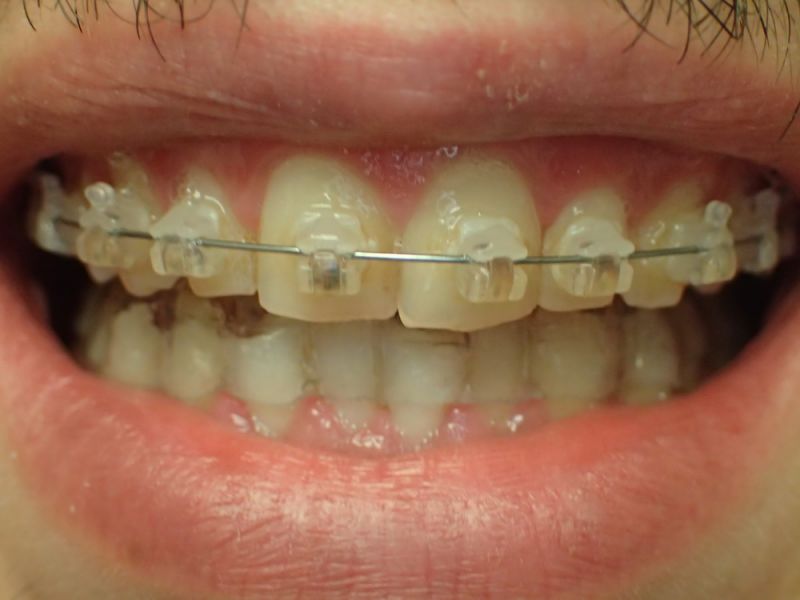
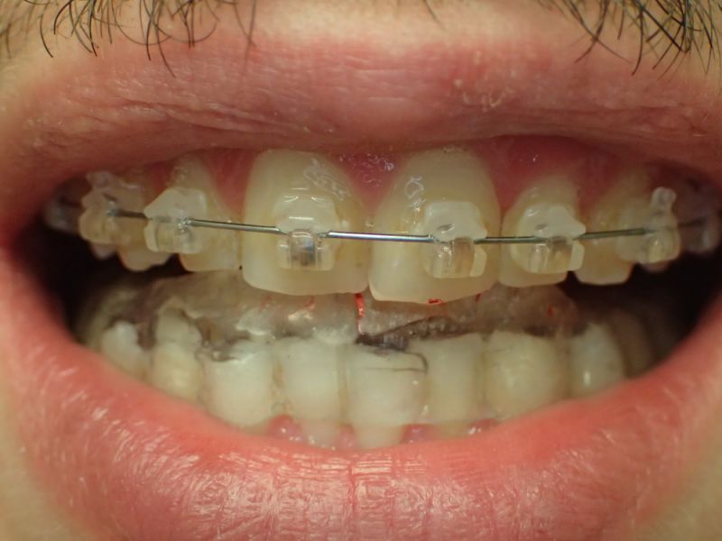
Daraufhin hat der Patient eine Kieferorthopädin konsultiert, die sich nach eigener Einschäötzung auf das Thema CMD spezialisiert hat. Ohne Vordiagnostik hat daraufhin eine Kieferorthopädische Erwachsenenbehandlung begonnen, die mit einer Bebänderung des Oberkiefers begann und nach kurzer Zeit zu geradezu explosionsartig verstärkten Bescherden des Patienten führte. Darauf angesprochen erklärte die konsultierte Kieferorthopädin, nach inzwischen 6000,-€ Behandlungskosten sie wisse nicht mehr weiter und könne dem Patienten nicht helfen.
Ohne in der Sache zu viel sagen zu wollen, kann man zumindest anmerken, dass es fragwürdig war einen Patienten, mit bereits bestehenden starken funktionellen Beschwerden kieferorthopädisch zu behandeln.
Der Patient leidet weiterhin an folgenden Beschwerden:
Kopfschmerzen
Gesichtsschmerzen
Wandernden Beschwerden in den Kiefern
Unerklärlichen Zahn-/Kieferbeschwerden
Beschwerden im Bereich der Jochbögen
Vermehrten Blähungen
Zugempfindlichkeit
Menstruationsunregelmäßigkeiten
Ziehen in den Armen
Kribbeln in den Fingern
Schwindel
Schluckbeschwerden/Kloßgefühl im Hals
Stress
Augenlidzucken
Beschwerden der Augen, Stiche Druck in/hinter den Augen
Unerklärlichen Sehstörungen
Halsschulternackenbeschwerden
Rückenschmerzen
Ohrgeräusche
Tinnitus
Morgendlich festem Biss
Ohrbeschwerden
„Watte im Ohr“ Gefühl
Verschlechterte Hörleistung
Beschwerden beim Sprechen/Artikulationsprobleme
Unruhe im Mund
Kaufunktion behindert
Kiefergelenkgeräusche
Hüftbeschwerden
Es besteht das Gefühl, dass
Die innere Mitte verloren gegangen ist: "Ich kann keine Lebensentscheidungen mehr fällen!"
Der Biss gesucht wird, der Biss passe nicht
Morgens wie gerädert
Zähneknirschen/pressen
Es wurden bisher erfolglos konsultiert:
HNO-Arzt, mit Akkupunktur
Augenarzt
Neurologen
Orthopäden: Hier Hinweis auf eine CMD, vor ca. 2,5 Jahren
Physiotherapeuten
Osteopathen
Zahnarzt
Kieferortopäde
Anderen Behandlern:
Chiropraktiker
Heilpraktiker
"Geistheiler"
Es erfolgt dieErstuntersuchung und die Herstellung und Eingliederung eines adjustierten Aufbissbehelfs zum Nachweis einer CMD.


