Ein neuer Rekonstruktionsplan für eine langjährig versorgte CMD-Patientin aus der Region Eckernförde
11278
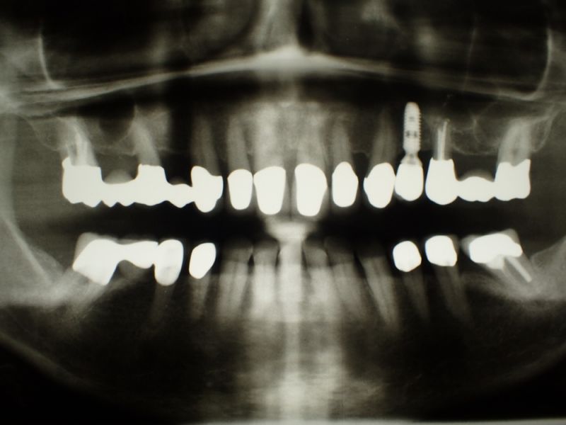
Hier entsteht jetzt ein spannendes Projekt, denn die funktionstherapeutische Totalrekonstruktion der Patientin ist seit nunmehr 25 Jahren in Funktion und gerade in den vergangenen Coronajahren haben sich an wichtigen Pfeilerzähnen Verschlechterungen eingestellt, die die Prognose der Stützpfeiler für eine neuerliche Rekonstruktion der inzwischen mitte-60-jährigen Patientin deutlich reduziert haben.
Also, wird es darum gehen in den Stützzonen in einer geschickten Ausnutzunt noch vorhandener Zähne und zur Implantainsertion geeigneter Lücken eine neue Totalrekonstruktion vorzubereiten, mit dem Ziel die Patientin in den kommenden Jahren nochmals so zu versorgen, dass eine neue funktionstherapeutische Totalrekonstruktion sie dann bis weit ans Lebensende führen könnte.


