Eine der technisch anspruchsvollsen Arbeiten, die hier je erstellt worden ist
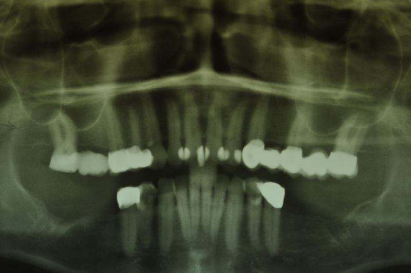
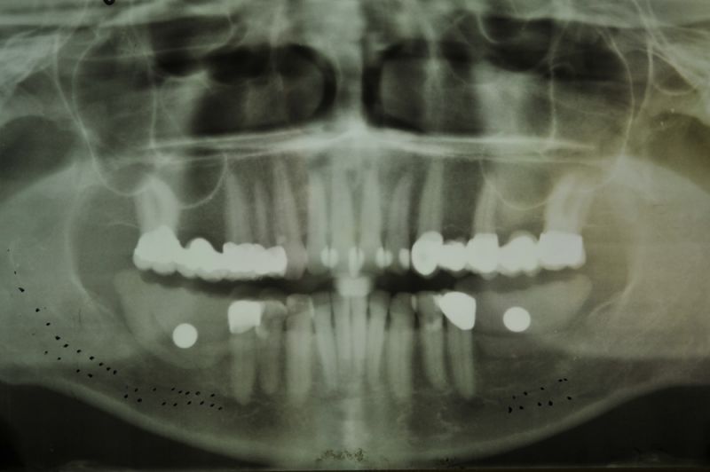
Mit dem heutigen Tag geht eine der technisch schwierigsten und anspruchsvollsten Arbeiten zu Ende, die im CMD-CENTRUM-KIEL jemals erstellt worden ist. Dabei sind es nur 10 Kronen, die benötigt werden, um die starken Kopf- und Gesichtsschmerzen der Patienten zu beseitigen.
Dabei hat die Patientin erst am 25.04.2014 erstmalig das "CMD-CENTRUM-KIEL" aufgesucht.
Zeitaufwand und psychische Belastung für das Behandlungsteam und die Patientin waren in jeder Hinsicht außergewöhnlich.
In diesem Fall war nichts und zu keinem Zeitpunkt einfach.
Die Lösung einer Vielzahl technischer Probleme, die vorrangig verursacht waren durch:
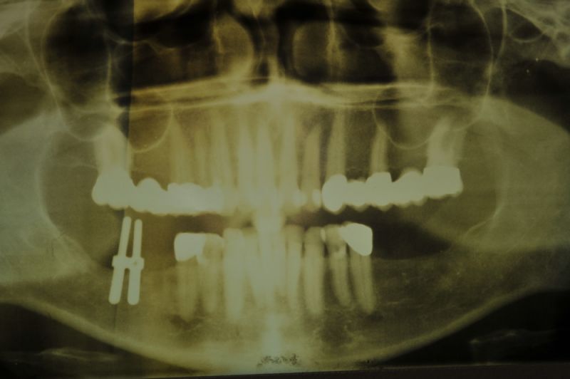
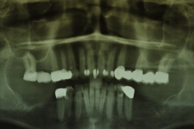
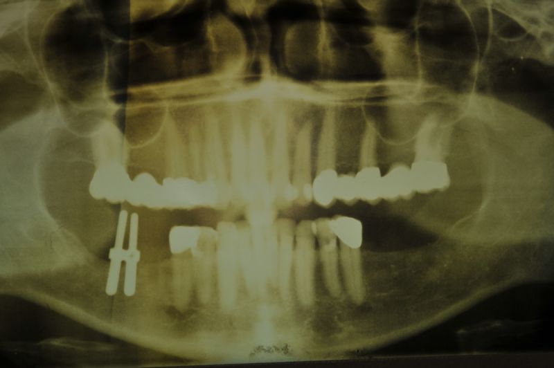
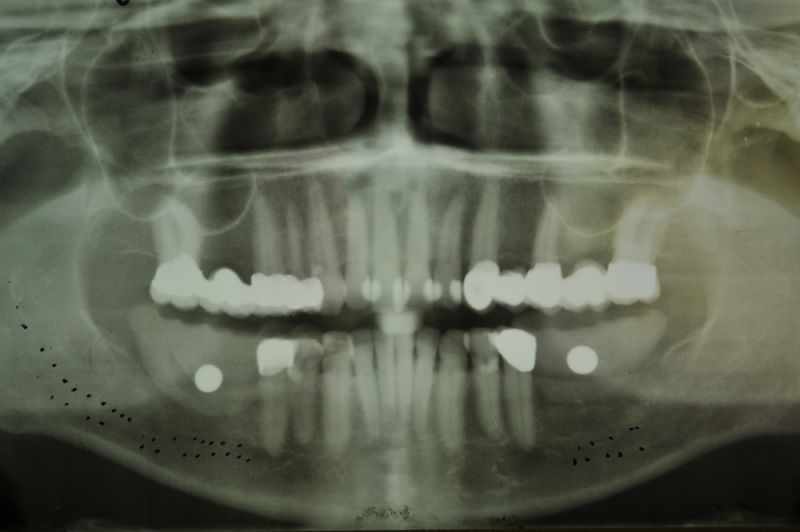
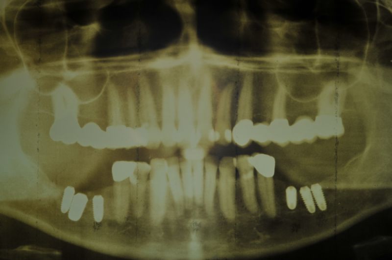
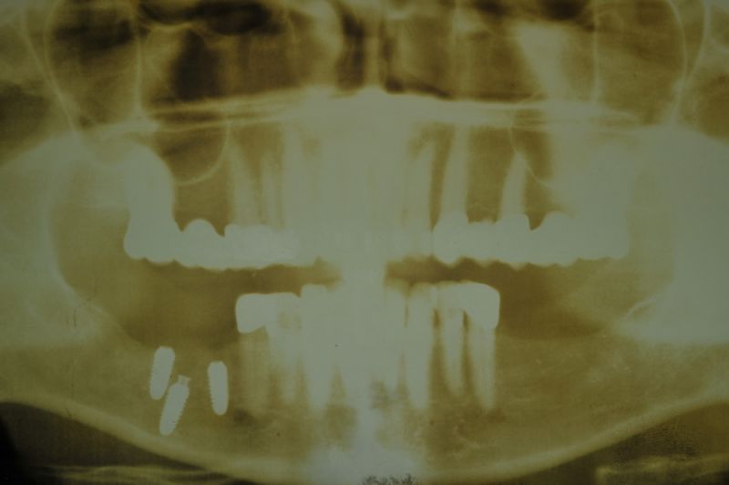
1. Notwendigkeit einer implantatgestützten Kronenversorgung mit der Vorgeschichte, dass die Patientin eine Vielzahl von Behandlern aufgesucht hatte, die eine Implantation im Unterkiefer als nicht durchführbar einschätzten.
2. Extrem schlechte knöcherne Verhältnisse im Unterkieferseitenzahnbereich, die sich intraoperativ noch einmal als ungünstiger darstellten, als bereits in den Voruntersuchungen erkennbar.
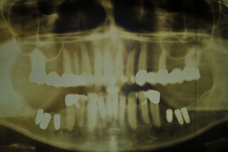
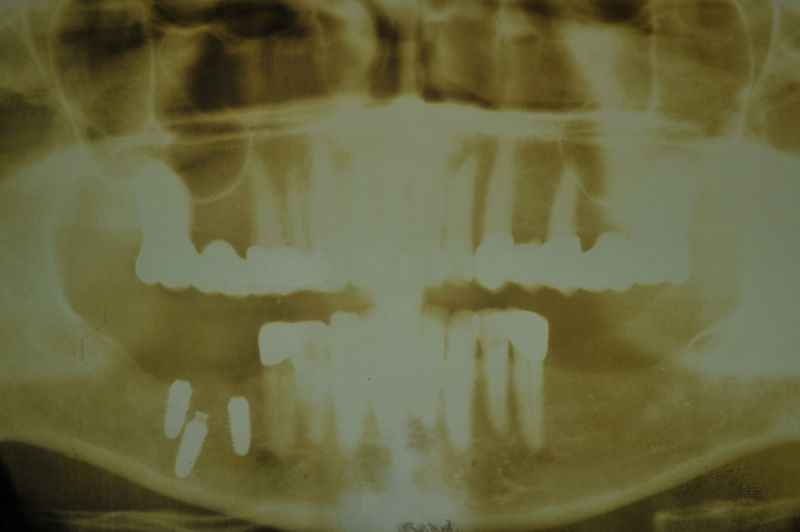
3. Sehr dünne Implantate, die von ursprünglich zwei je Kieferhälfte auf letztendlich drei je Kieferhälfte umgeplant werden mussten.
4. Notwendigkeit die Mundhygienefähigkeit der Arbeit auch unter sehr beengten Verhältnissen zu schaffen, um der Arbeit eine günstige Prognose mitzugeben.
Die Patientin wurde umfangreich aufgeklärt über:
1. Notwendigkeit eines professionellen regelmäßigen Recalls, alle drei Monate
2. Notwendigkeit der Intrerdentalraumhygiene. Zwischen den Zähnen einmal pro Tag. Zwischen den Implantataufbauten zweimal pro Tag.
Terminvereinbarung zur Wiedervorstellung zur Abschlussuntersuchung mit funktionellem Abschlussbefund.


