Eine neue Patientin aus Bad Tölz
13430
Die Patientin beschreibt bei einem Beschwerdelevel von "9" ein ganz ungewöhnliches Problem!
Bis vor drei Jahren habe sie recht normale Bissverhältnisse gehabt.
Inzwischen stellt sich der Biss als frontal offen dar mit einer Schneidekantendistanz von ca. 4 Millimetern.
Bei einem regulären vertikalen Übebiss von ca. 3 Millimetern bedeutet das eine Veränderung um ca. 7 Millimeter in der Front.
Es ist überhaupt nicht erkennbar warum es in den vergangenen drei Jahren zu einer derart massiven Veränderung des Bisslage gekommen sein könnte. Der Zahnarzt, der die Patientin den vergangenen 5 Jahren betreut hat hat einen Aufbissbehelf im Oberkiefer eingegliedert, der aber in den vergangenen drei Jahren nur zweimal kontrolliert wurde und zu keiner Verbesserung der Beschwerdesituation geführt hat.
Die Patientin bringt ihre Beschwerden folgendermaßen auf den Punkt: "Wenn ich nachts im Bett liege denke ich nur an meine Zähne und bin verspannt!"
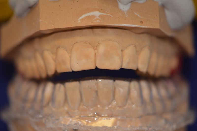
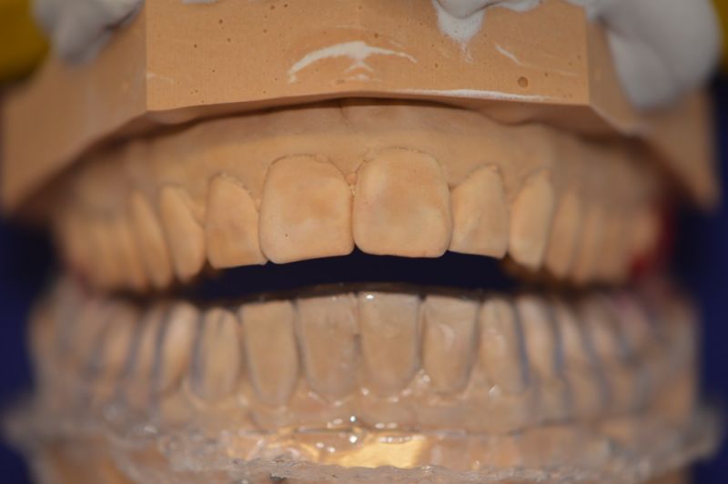
Deutlich erkennbar die massive Sperrung des Unterkiefers.
Vorgabe der minimalen Höhe des Aufbissbshelfs zur Vorkontakte im Molarenbereich in neuromuskulär zentrierter Kondylenposition
Nach Absprache mit der Patientin erfolgt im Artikulator ein Einschleifen der Vorkontakte im Weisheitszahnbereich und nachfolgend, nach kiefergelenkacshenbezogener Einsenkung des Bisses die Herstellung eines adjustierten Aufbissbehelfs.
Der Aufbissbehelf ist im Weisheitszahnbereich einen knappen Millimeter stark. Im Frontzahnbereich hingegen mehrere Millimeter.
Eingliederung eines adjustierten Aufbissbehelfs zum Nachweis einer CMD. Im Zuge der Eingliederung des Aufbissbshelfs kommt es zu einer leichten VErletzung der Mundschleimhaut beim Einrasten des Aufbissbshelfs auf den Unterkieferfrontzähnen.


