Eine neue Patientin aus Bremen
13570
Das, was die Patientin am Meisten bedrückt ist ihr Tinnitus.
Pulsierende und unregelmäßige Kopfschmerzen in beiden Gesichtshälften treten dagegen zurück.
Der Beschwerdelevel liegt bei 7.
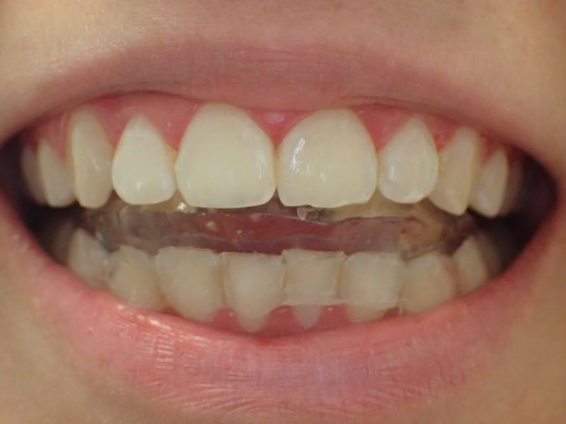
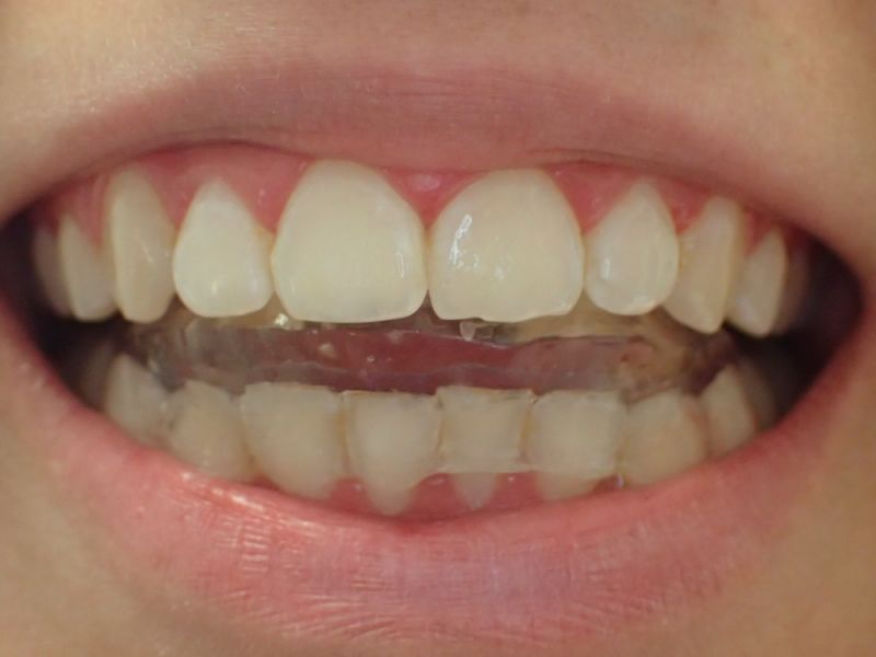
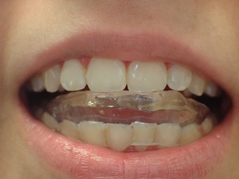
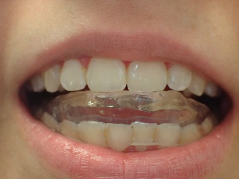
Es erfolgt die Erstuntersuchung und nachfolgende Herstellung und Eingliederung eines adjustierten Aufbissbshelfs im Unterkiefer.
Die Beschwerden begannen gegen 2013.
Die Patientin beklagt weiterhin:
Vermehrte Blähungen, seit 2010
Kribbeln in den Fingern, seit 2014
Halsschulternackenbeschwerden
Rückenschmerzen
Ohrgeräusche
Morgentlich festen Biss
Watte im Ohr Gefühl, seit 2013
Seit 2013 hat die Patientin ihre innere NMitte verloren: Ein Gefühl, als wenn nichts mehr gerade ist! Zudem dauernde Müdigkeit und Abgeschlagenheit
Seit 2016 sucht die Patientin ihren Biss


