Eine neue Patientin aus der Region Erlangen
13712
Der Patientin geht es schon nach eine rStunde Tragezeit des Aufbissbshelfs besser.
Deutlich erhöhte Kopfbeweglichkeit.
Beschwerdelevel: 5
Die Patientin ist seit 2 Jahren 100% erwerbsunfähig.
Das Leitsymptom sind "Extreme Kopfschmerzen"
Der Beschwerdelevel liegt bei 50% der Zeit bei Beschwerdelevel: 10
Die anderen 50% der Zeit bei einem Beschwerdelevel zwischen 5-8.
Die Patientin hat inzwischen 3 Schienen erhalten, ohne jede Besserung ihrer Situation
Die Patientin hat eigentlich schon immer Beschwerden, so lange sie denken kann.
Richtig schlimm wurden die Schmerzen seit 2005.
Etwa zu diser Zeit hat die Patientin auch mehrere Kronen erhalten, nach denen sich die Beschwerden noch einmal weiter verschlimmert haben.
Es bestehen weitere folgende Beschwerden:
Kopfschmerzen
Gesichtsschmerzen
Zugempfindlichkeit
Menstruationsunregelmäßigkeiten
Schwindel
Schluckbeschwerden/Kloßgefühl im Hals
Stress
Augenlidzucken
Beschwerden der Augen, Stiche Druck in/hinter den Augen
Unerklärlichen Sehstörungen: Überanstrengte Augen
Halsschulternackenbeschwerden
Rückenschmerzen
Morgendlich festem Biss
Ohrbeschwerden
„Watte im Ohr“ Gefühl
Verschlechterte Hörleistung
Unruhe im Mund: Patientin legt Zunge zwischen die Seitenzähne und stützt sicvh mit der Zunge am Gaumen ab
Kaufunktion behindert
Kieferöffnung behindert
Kieferschluss behindert
Kiefergelenkgeräusche
Es besteht das Gefühl, dass
Die innere Mitte verloren gegangen ist: "Ich bin ständig dabei mich zu bewegen, kann einfach nicht still sitzen". Ich weiß nicht, wie ich mich stellen, setzen, legen soll, weil ich nicht weiß, wo meine innere Mitte ist"
Der Biss gesucht wird, der Biss passe nicht
Morgens wie gerädert: Nachtschlaf gestört: Mich belastet das alles nicht nur körperlich sondern auch seelisch
Zähneknirschen/pressen
Es wurden bisher erfolglos konsultiert:
Augenarzt
Neurologen
Orthopäden
Physiotherapeuten
Osteopathen
Zahnarzt
Anderen Behandlern: Atlastherapie, Heilpraktiker, Psychotherapeut
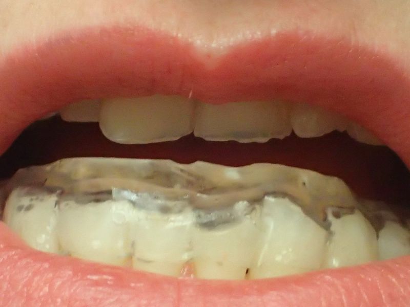
Es erfolgen die Maßnahmen der mauell provokativen Erstuntersuchung und die Herstellung und Eingliederung eines adjustierten Aufbissbehelfs.


