Eine neue Patientin aus der Region Strausberg
13742
Die Leitsymptome der Patientin lauten: "Kopfschmerz und Schwindel"
Das Ganze, seitdem sie vier neue Kronen erhalten hatte, Ende November 2018.
Dabei steht fest, dass die neuen Kronen vermtlich der Auslöser, aber eben nicht die Ursache der ausgeprägten Beswchwerden der Patientin darstellen.
Die Ursache liegt vermutlich in einem langjährige bestehenden, stark dysgnathen Gebiss, bei dem man sich nur wundern kann, dass die Patientin erst so spät funktionelle Beschwerden entwickelt hat.
Der Beschwerdelevel liegt bei: 7. Daus Ausmaß psychischer Belastung für die Patientin bei: 10
Es bestehen folgende Beschwerden:
Kopfschmerzen
Gesichtsschmerzen
Unerklärlichen Zahn-/Kieferbeschwerden
Zugempfindlichkeit
Ziehen in den Armen
Kribbeln in den Fingern
Schwindel
Stress
Beschwerden der Augen, Stiche Druck in/hinter den Augen
Halsschulternackenbeschwerden
Rückenschmerzen
Ohrgeräusche
Kaufunktion behindert: "Ich möchte nicht kauen"
Kiefergelenkgeräusche: Das Gefühl, als springe da duaernd etwas raus.
Es besteht das Gefühl, dass
Die innere Mitte verloren gegangen ist: "Ich bin seit 3 Monaten psychisch stark angespannt, weil die Beschwerden einfach nicht verschwinden"
Der Biss gesucht wird, der Biss passe nicht: Seit Anfang 2019
Morgens wie gerädert: Nachtschlaf gestört
Zähneknirschen/pressen: Bisher nicht aufgefallen
Es wurden bisher erfolglos konsultiert:
Neurologen
Physiotherapeuten
Zahnarzt
Bereits vor 12 Jahren hatte die Patientin Probleme mit der Mundöffnung
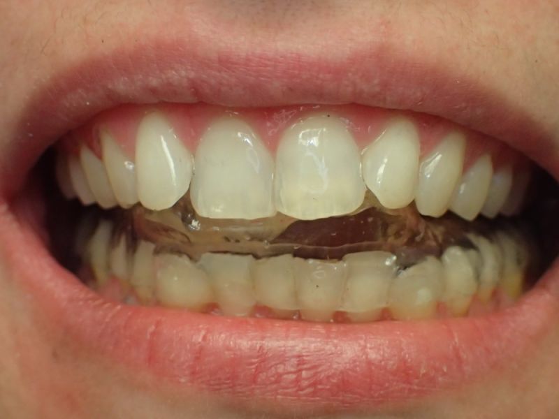
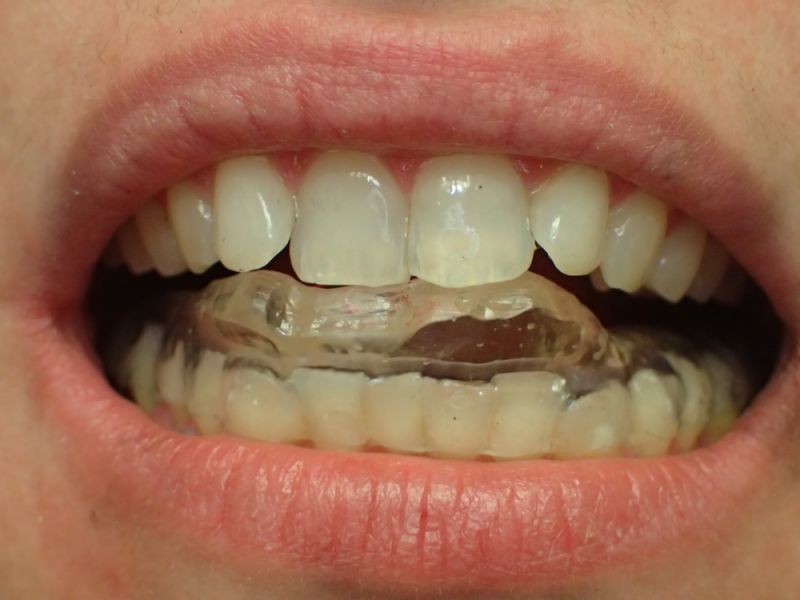
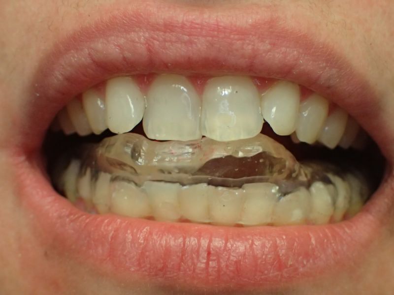
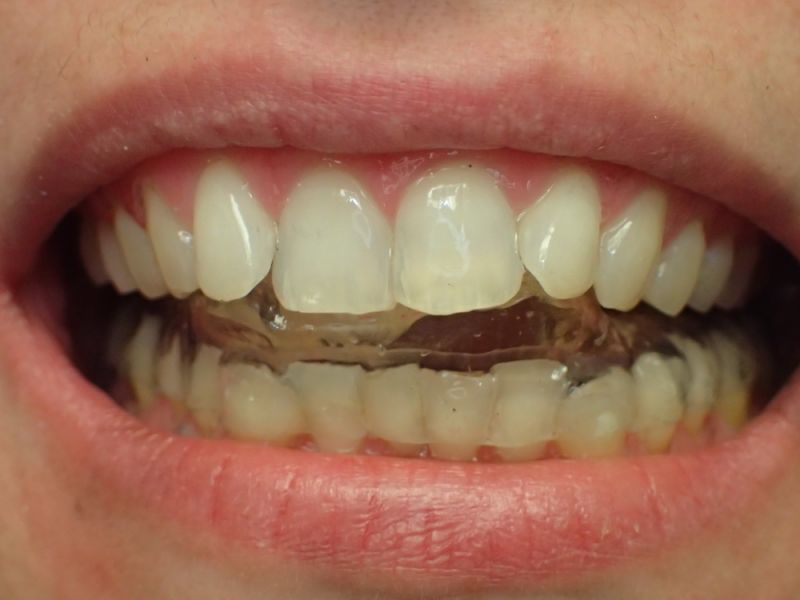
Es erfolgt die klinisch manuell, provokative Erstuntersuchung der Patientin und nachfolgend die Herstellung und Eingliederung eines adjustierten Aufbissbehelfs zum Nachweis einer CMD


