Eine neue Patientin aus Düsseldorf
Brennende Schmerzen im Bereich des linken Ober- und Unterkieferseitenzahnbereichs peinigen die Patientin seit September 2015.
Beschwerdelevel: "2-8". Nervlevel: "10"
Morgend geht es meist mit einer "2" los und endet am Abend bei "8".
Bereits im Jahr 2007 gab es eine Lebensphase, in der es der Patienitn schon einmal richtig schlecht ging.
2013 erfolgte eine Kurzzeitbehandlung mit dem Inisalignsystem. Die Patienitn hatte schon nach wenigen Tagen das Gefühl, dasses ihr schlechter ginge.
Im Dezember 2015 2 Schienen, eine Knirscherschiene, eine sogenannte Jig-Schiene, ohne jede Verbesserung der Situation.
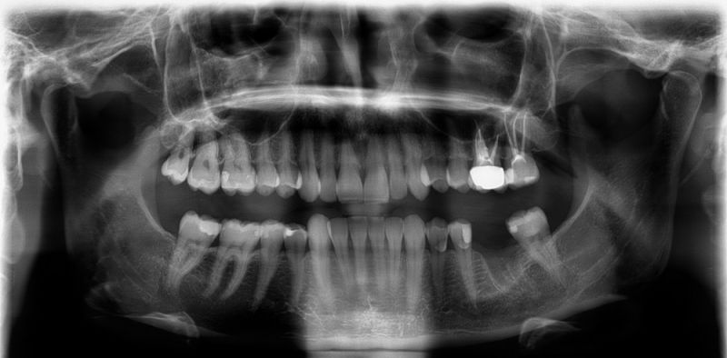
3 wuzelkanalbehandelte Zähne und einen gezogenen Backenzahn später wusste die Patientin, dass diese Beschwerden nicht durch Zähne verursacht wird, wie der damals behandelnde Zahnarzt vermutete.
Im Rahmen der manuell provokativen Untersuchungen gelingt es das Brennen im linken Gesichtsbereich durch isometrische Anspannungen bestimmter Muskeln zu verstärken und zu triggern.
Weiterhin: Blähungen, Zugempfindlichkeit, Ziehen in den Armen, Kribbeln in den Fingern, Halsschulternackenbeschwerden, Tinnitus, Watte im Ohr Gefühl,.
Erstmalig 2007, dann nach Besserung im September 2015 hat die Patienitn das Gefühl sie habe ihre innere Mitte verloren.
Es läuft dfas Nachweisverfahren einer CMD unter Einsatz eines adjustierten Aufbissbehelfs.
Deutlich erkennbar die Nonokklusion in neuromuskulär zenmtrierter Bisslage


