Eine neue Patientin aus Frankfurt
13786
Der Beschwerdelevel der Patientin liegt bei: 7
Der Nervfaktor liegt bei: 7
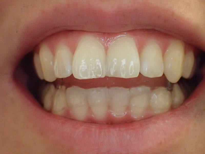
In der Vorbehandlung Versorgung mit einem Aufbissbehelf durch einen Zahnarzt und einen Kieferorthopäden, jeweils ohne Besserung der Beschwerden.
Ganz aktuell war die Patientin bei einer Hauszahnärztin, die auf die Idee kam der Patientin zwei Eckzahnfacetten im Oberkiefer zu installieren, mit dem Ergebnis, dass die Beschwerden der Patienti sich nochmals verschlechtert haben.
Auch hier einmal wieder mehr: Eine kurzentschlossene Therapie, ohne jede vorhergehende Diagnostik. Im zahnärztlichen Bereich eher üblich, als außergewöhnlich. Wir denken nur an die üblichen Geschichten vermeintlicher Erosionen, bei denn die Patienten am Tag 370 Liter Cola und 580 Yoghurts essen müssten, um die ph Werte zu realisieren, die für erosive Zahnsubstanzverluste Voraussetzung wären.
Das in Wirklichkeit unphysiologische okklusale Belastungen, hervorgerufen durch latente funktionelle Fehlbelastungen der Zahnoberflächen die Ursache von Vorschädigungen der Zahnhartsubstanzen sind, so dass dann tatsächlich schon das normale Zähneputzen zu Zahnsubstanzverlusten führen kann, geht dabei unter.
Es macht dann nur keinen Sinn dem Patienten das Glas Coca Cola und den einen Yoghurt in der Woche zu kürzen, sondern auf die Suche zu gehen, wie es zu den unphysiologischen okklusalen Fehlbelastungen kommt.
Es bestehen vorrangig Beschwerden im Berech des Halses hinter und unter dem linken Unterkieferwinkel und im Bereich des linken Ohres. Weiterhin auch im rechten Schläfenbereich nach unten hinten ausstrahlend.
Es bestehen weiterhin folgende Beschwerden:
Kopfschmerzen
Gesichtsschmerzen
Wandernden Beschwerden in den Kiefern
Unerklärlichen Zahn-/Kieferbeschwerden
Vermehrten Blähungen
Menstruationsunregelmäßigkeiten
Kribbeln in den Fingern
Schwindel
Stress
Halsschulternackenbeschwerden, starke
Rückenschmerzen
Ohrgeräusche, vermehrt bei Stress
Ohrbeschwerden
„Watte im Ohr“ Gefühl
Beschwerden beim Sprechen/Artikulationsprobleme, in letzter Zeit gelegentlich
Kiefergelenkgeräusche
Es besteht das Gefühl, dass
Der Biss gesucht wird, der Biss passe nicht, seit ein paar Jahren
Zähneknirschen/pressen
Es wurden bisher erfolglos konsultiert:
HNO-Arzt: Ohne Befund
Physiotherapeuten
Zahnarzt
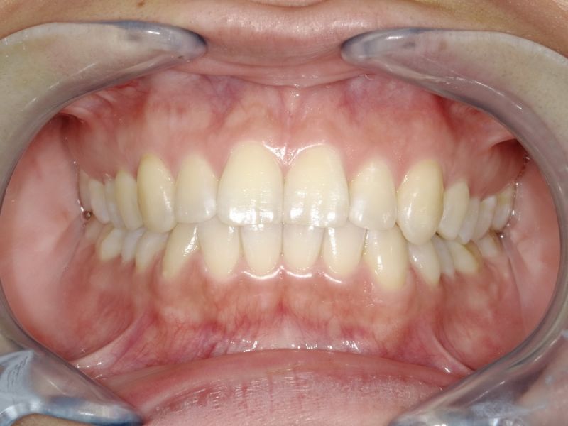
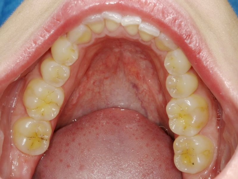
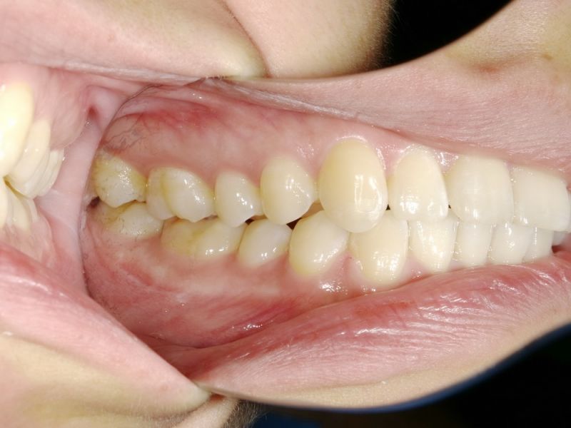
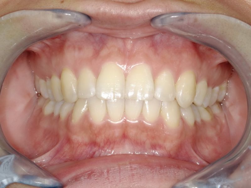
Es erfolgen die Maßnahmen der funktionellen Erstuntersuchung und die Herstellung und Eingliederung eines adjustierten Aufbissbehelfs zum Nachweis einer CMD.
Mann kann hier sehr gut an den beiden Punkten der distalen Dreipunktabstützung erkennen, mit welch hoher Passgenauigkeit die Zentrikplatten auf die Gipszähne der Meistermodelle aufgebacht werden können und müssen.
Es ist einer dieser Detailpunkte, der darüber entscheidet, mit welcher Anfangspassgenauigkeit ein 'A'ufbissbehelf am Ende eines langwierigen Arbeitsprozesses in der Mundhöhle des Patienten eingeglidert werden kann.
Es erfolgen die Maßnahmen der klinisch manuellen Erstuntersuchung und nachfolgend die Maßnahmen zu Herstellung und Eingliederung eines adjustierten Aufbissbehelfs


