Erste Planungen für eine CMD Patientin mit 25 Jahre inkorporierter Restauration (Podcast)
11278
      
  
  Irgendwann ist alles Mal zu Ende und es müssen Planungen beginnen, wie es danach weitergehen soll.
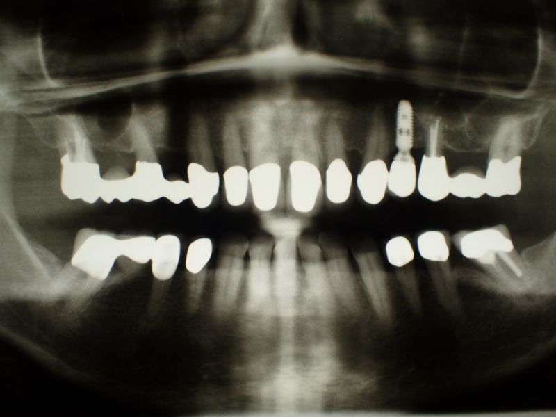
Die bestehende funktionstherapeutische Versorgung befindet sich nunmehr seit 25 Jahren im Munde der Patientin und der ist bewusst, dass das zwar ganz toll ist, aber aus verschiedenen Gründen nicht davon auszugehen ist, dass die Versorgung in ihrer ganzen Komplexität nochmal 25 Jahren funktionieren dürfte.
Dabei ist das Problem nicht primär die zahntechnische Rekonstruktion, sondern die Fundamente, die schon vor 25 Jahren nicht mehr taufrisch waren und nun zwar durch guten und regelmäßigen, vierteljährlichen Recall, 25 Jahre lang ununterbrochen in Schuss gehalten werden konnte, aber eben auch eine begrenzte Lebensdauer besitzen.
Ab der zweiten Jahreshälfte, wenn die Patientin dann in einen neuen Lebensabschnitt eintritt, werden nun erste konkrete Planungen beginnen, mit dem Ziel, über die kommenden Jahre hinweg bestehende, aber ebenlangfristig nicht zu erhaltbare Fundamente, sprich Zähne, gegen belastbare Implantate auszutauschen, um dann, wenn genügend belastbare Fundamente vorhanden sind, darauf dann einen neuen funktionstherapeutischen Zahnersatz zu installieren, der dann weitgehend bis ans Lebensende der Patientin halten möge.
Dabei sind ganz viele Dinge zu beachten, u.a. eben auch die gesundheitlichen Einschränkungen, die das Alter, mehr oder weniger selbstverständlich, mit sich bringt.
Mehr dazu in einem Podcastbeitrag: Folge 56- Was es bei einer Mitte 60 jährigen CMD Patientin so alles zu beachten gibt!


