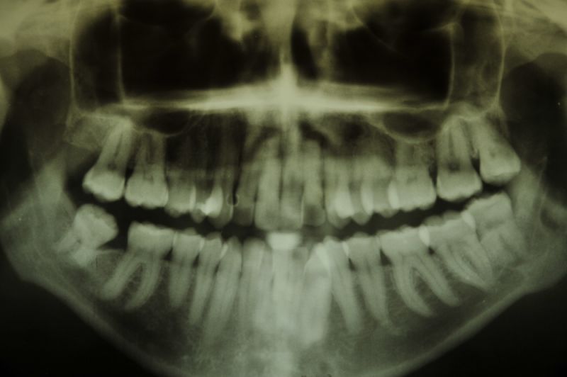
Extreme Dysgnathie einer Patientin aus Kiel mit Aufbissbehelf vollkommen beschwerdefrei
Die Patientin trägt den Aufbissbehelf seit dem 18.09.2014 und ist nach einem Beschwerdelevel "10" vor der Eingliederung des Aufbissbehelfs inzwischen bei Beschwerdelevel "0". Die Patientin kann den Aufbissbehelf auf Grund der "Sperrigkeit" des Geräts bei der Arbeit nicht tragen. Wenn sie den Aufbissbehelf heraus nimmt kommen die Beschwerden nach wenigen Stunden zurück. Wenn sie die Arbeit beendet hat und den Aufbissbehelf einsetzt dauert es ca. 15 Minuten bis wieder Beschwerdefreiheit erreicht ist.


