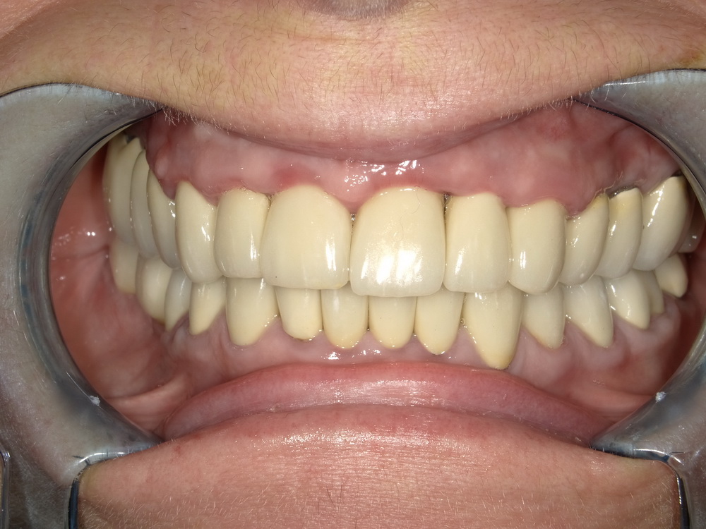
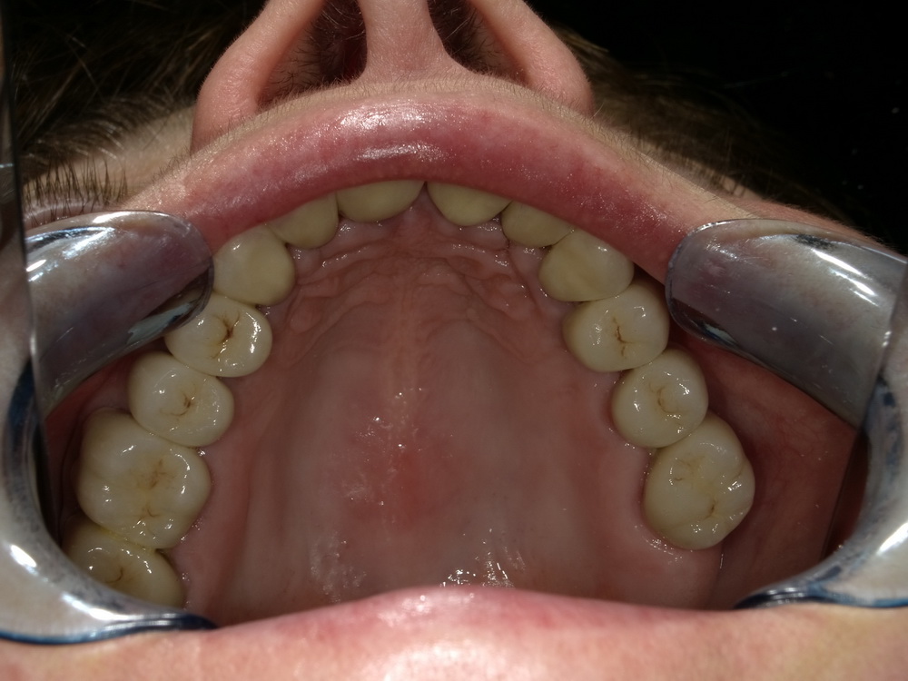
Fertig rekonstruierte CMD-Patientin aus Ostholstein zur Abschlussuntersuchung
13981
An die ursprünglichen, "Tierischen Ohrenschmerzen" kann sich die Patienitn nicht mehr erinnern.
Die sind nämlich in der Folge dieser Behandlung komplett verschwunden.
Ebenso ein nerviges Kiefergelenkknacken.
Aus einem Beschwerdelvel 10 wurde inzwischen eine 3.
Aus dem ursprünglichen Nervfaktor 10 eine glatte NULL.
Es erfolgt eine Abschlussstatus und eine abschließende Fotodokumentation.


