Navigation überspringen
Start
Kosten
Info zu CMD, MAP, OD
Spezialist/Konzept
Kieler-CMD-Schiene
TV-Berichterstattung
Kontakt
Anreise & Unterkunft
Häufige Fragen
Arzthaftungsprozesse
Patientenarchiv
Info für Überweiser
Hinweise zu Unfällen
Links
Glossar
Downloads
Anlagen Spez.Prüfung
Impressum
Datenschutz
Kopfschmerzen/Migräne
Verspannungen im Gesicht
Hüft- und Kniebeschwerden
Kiefergelenkbeschwerden
Schlafstörungen
Bauchschmerzen
Nasennebenhöhlenbeschwerden
Halsschulternackenbeschwerden
Rückenschmerzen
HNO-Beschwerden
Augenbeschwerden/Sehstörungen
Zahnärztliche Beschwerden
Unfall/Berufsunfall
Taubheit/Brennen/Unruhe im Mund
Schwellungen im Gesicht
Blähungen/Schluckbeschwerden
Tinnitus/"Watte im Ohr"
Schwindel / Gangunsicherheit
Psychosomatik
Laufende
Behandlungen
(hier klicken)
Sie haben
Schmerzen
⇓
Suchbegriffe
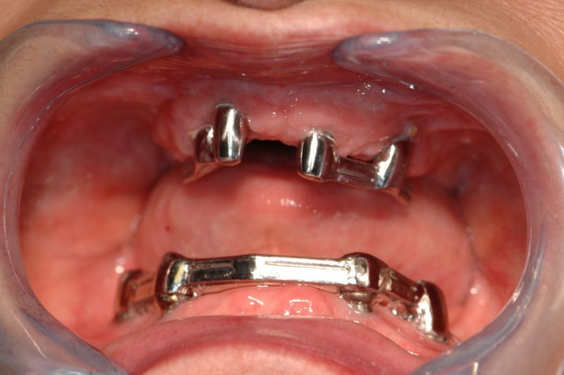
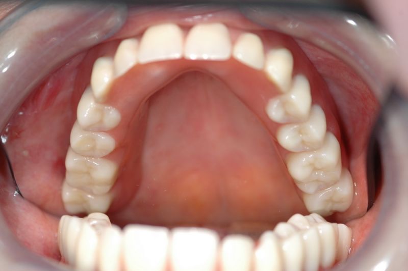
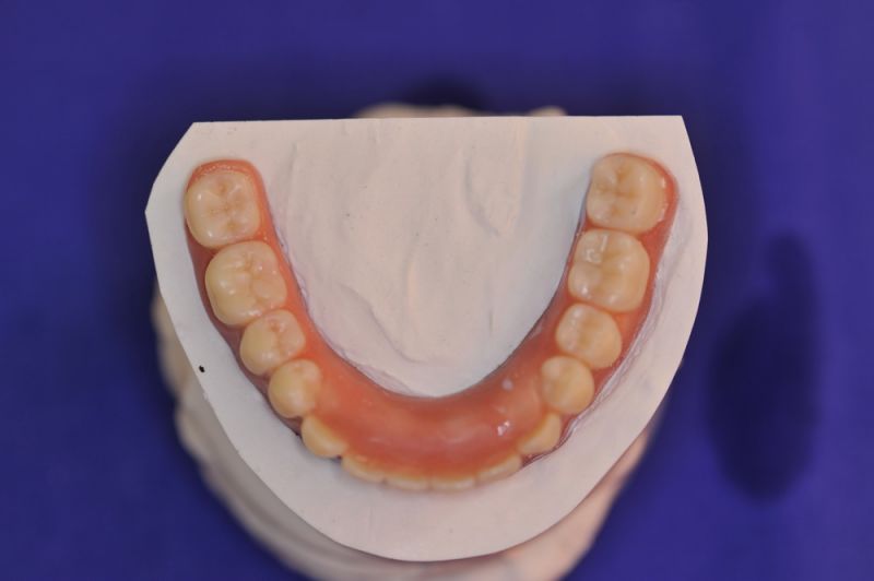
Funktionstherapeutisch rekonstruierte Kieler Patientin zum Recall
13.03.2017 14:16
12406
Auch diese
Patientin
erscheint regelmäßig, alle drei Monate zum Recall.
Letzte Überarbeitung der Prothesen im Jahr 2015
Zurück
Zur Reichweitemessung setzen wir Cookies ein. Wenn sie diese Website weiterhin besuchen, erklären Sie sich damit einverstanden.
OK