Generalüberholte Arbeit zur Wiedereingliederung
12065
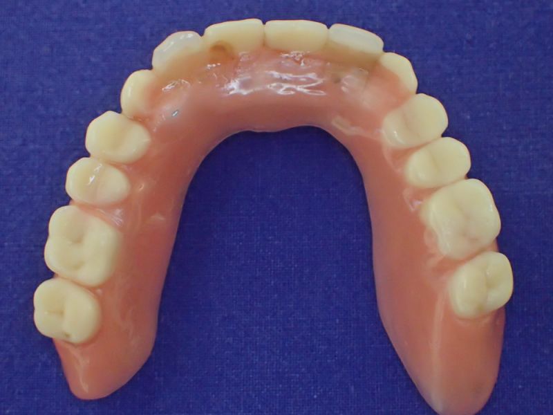
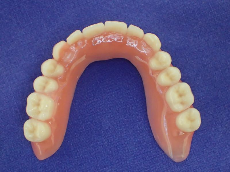
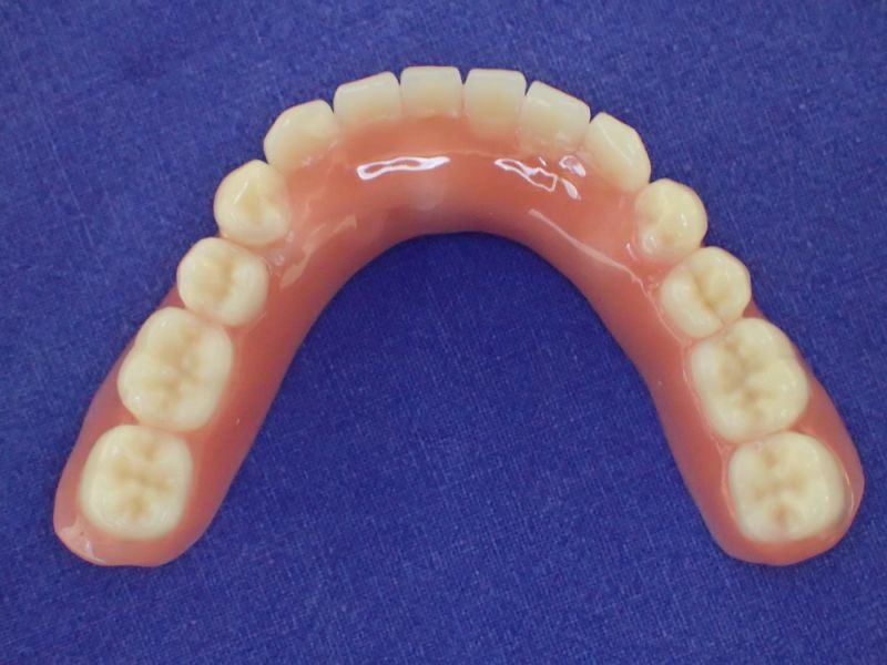
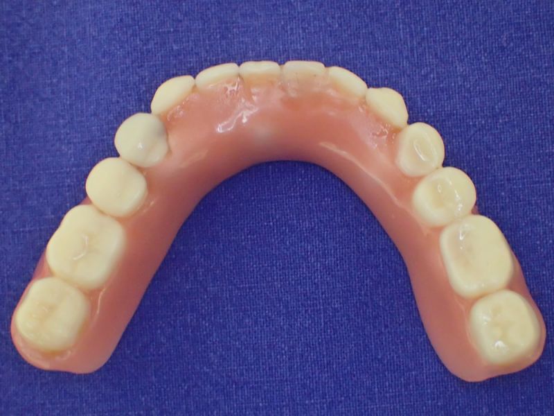
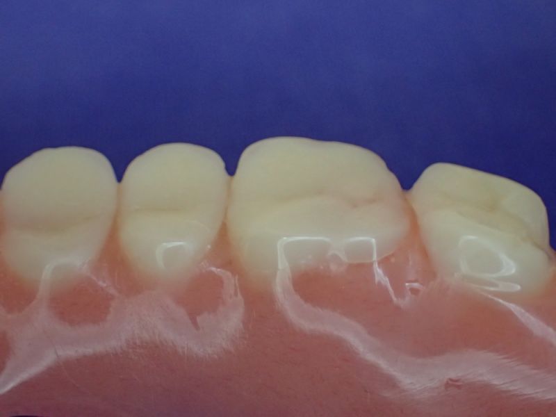
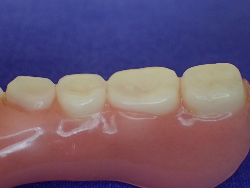
2007 wurde diese implantatgestützte Versorgung erstellt. Die 8 Implantate wurden allesamt hier inseriert und befinden sich bis heute, vollkommen unverändert in Funktion.
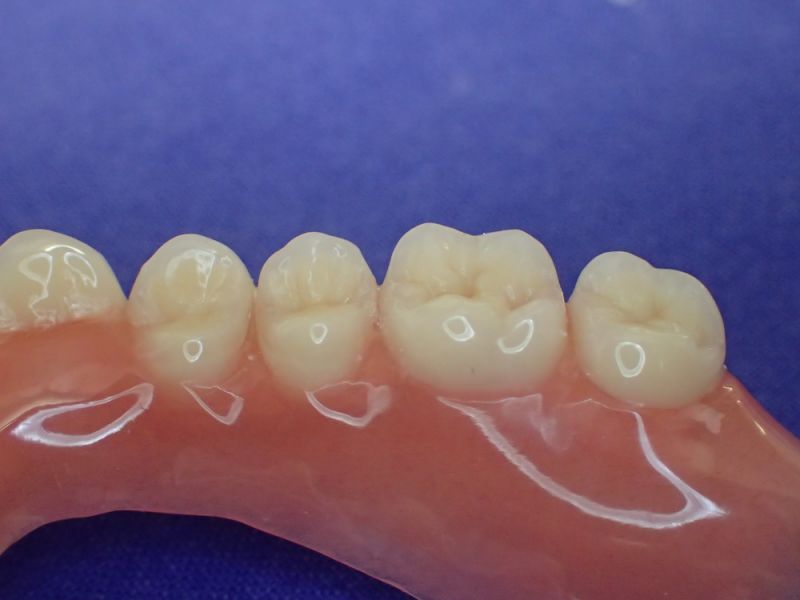
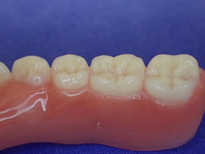
Nach inzwischen 12 jähriger Tragedauer wurden alle Kunststoffteile erneuert, das metallische Grundgeroüst der Arbeit erhalten und die Arbeit befindet sich in einem Zustand, der sich weitgehend an der Ersterstellung orientiert.
Bei derartigen Arbeiten ist es tatsächlich möglich grundlegende Konstruktionsmerkmale einer alten Arbeit zu übernehmen und Verschleißteile aus Kunststoff zu erneuern.
Im Prinzip ist das beliebig oft möglich und für den Patienten mit einer enormen Kostenersparnis verbunden.
Entscheidend ist hierbei, dass schon bei der Ausgangskonzeption, wenn die Überlegungen der Art der Versorgung, der Art der Verankerungselemente Überlegungen angstellt werden: "Was passiert wenn?
Ganz besonder interessant wird es dann, wenn Arbeiten deutlich länger halten, als ursprünglich geplant.
Hier eines der großewn Probleme, gerade im Bereich der Implantate, dass Implantathersteller insolvent werden, oder aber bestimmte Ersatzteile einer Produktlinie nicht mehr produziert werden.
Derartiges dürfte es eigentlich nicht geben, in der Zahnmedizin allerdings inzwischen auch Alltag.
Derartige Probleme können dann am Ende dazu führen, dass volkommen intakte Implantate mit erheblichen Knochenverlusten aus dem Kieferknochen herausgefräst, augmentiert und dann neue Implantate inseriert werden müssen.


