76 jährige Patientin aus Kiel zur Zahnentfernung im Oberkieferseitenzahnbereich
Aus parodontalen Gründen mussten bei der Patientin im Oberkieferseitenzahnbereich mehrere Zähne entfernt werden. Auf der rechten Seite wurden bereits zwei Implantate, mit einem externen Sinuslift verbunden, gesetzt.
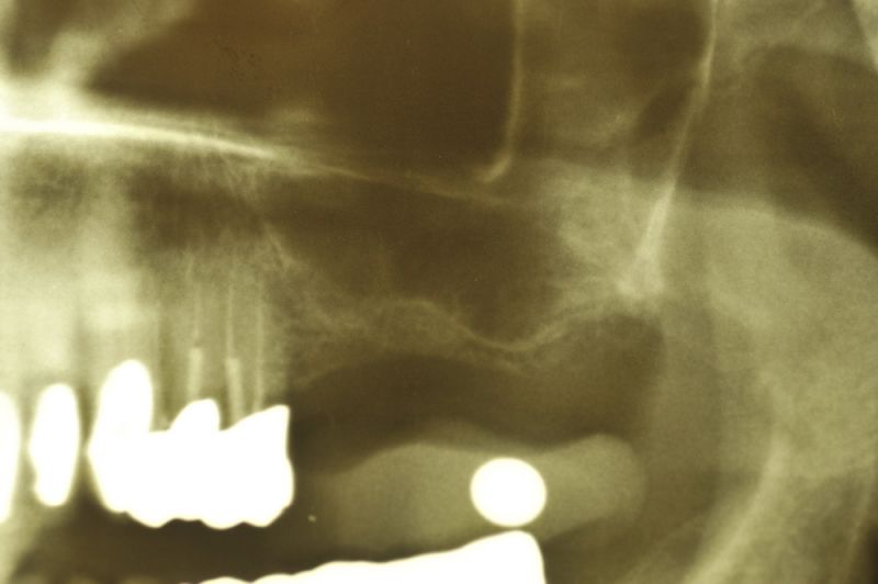
Heute wurden die Zähne 15 und 17 entfernt. An Zahn 15 erkennt man ein großes Granulom, im Sinne einer chronischen Entzündung, um die Wurzelspitze herum. Dieses Granulom hat der Patientin keinerlei Beschwerden verursacht. Der Zahn hätte aber so nicht gehalten oder versorgt werden können, weil dieses Granulom die Tendenz hat sich weiter zu vergrößern und dabei Knochen einzuschmelzen, der wiederum für den Halt der Zähne benötigt wird.
So sehen Granulome aus, die sich an und um die Wurzelspitzen chronisch beherdeter Zähne gebildet haben.
In aller Regel sind diese Zähne sehr lange Zeit vollkommen beschwerdefrei und erst im Rahmen röntgenologischer Untersuchungen werden derartige Befunde offenbar.



 
       
       
       
       
       
      