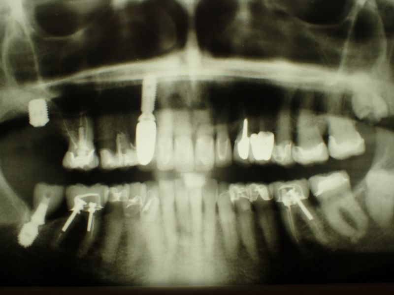
80 jährige rekonstruierte CMD Patientin erhält ein Implantat
10262
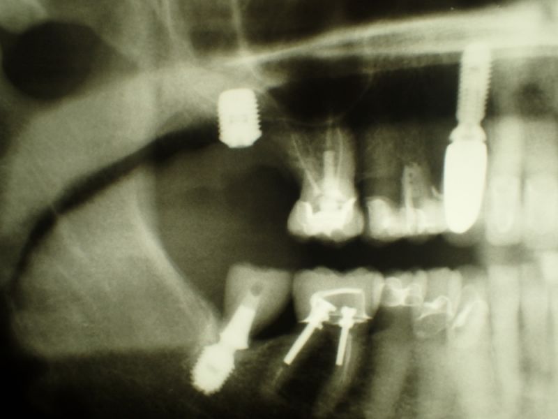
Bei der 80 jährigen Patientin wurde heute in regio 17 ein Implantat inseriert, mit dem Ziel der Wiederherstellung der linken Stützzone.
Wie man beispielhaft an diesem Fall sehen kann, geht der Trend in die Richtung selbst Patienten im fortgeschrittenen Alter weiter mit festsitzendem Zahnersatz zu versorgen, wenn der Patient das in der Vergangenheit so gewohnt war.
Kostentechnisch gesehen ist das sogar wesentlich preisgünstiger, als wenn man jetzt begonnen hätte mit hochwertigem herausnehmbarem Zahnersatz zu arbeiten.


