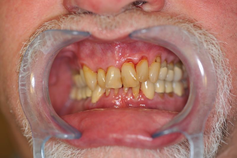
80 jähriger Patient aus Kiel erhält die beiden letzten Rekonstruktionen. Behandlung abgeschlossen
13080
Der Patient erhält die beiden letzten Kronen zur Einstellung der dynamischen Okklusion.
Die funktionstherapeutische Behandlung ist damit abgeschlossen. Der Patient ist vollkommen beschwerdefrei. Beschwerdelevel: "0".
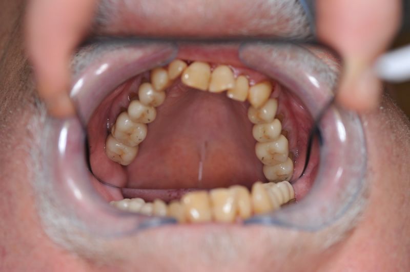
In diesem Fall möglich über die Herstellung von zwei Eckzahnkronen
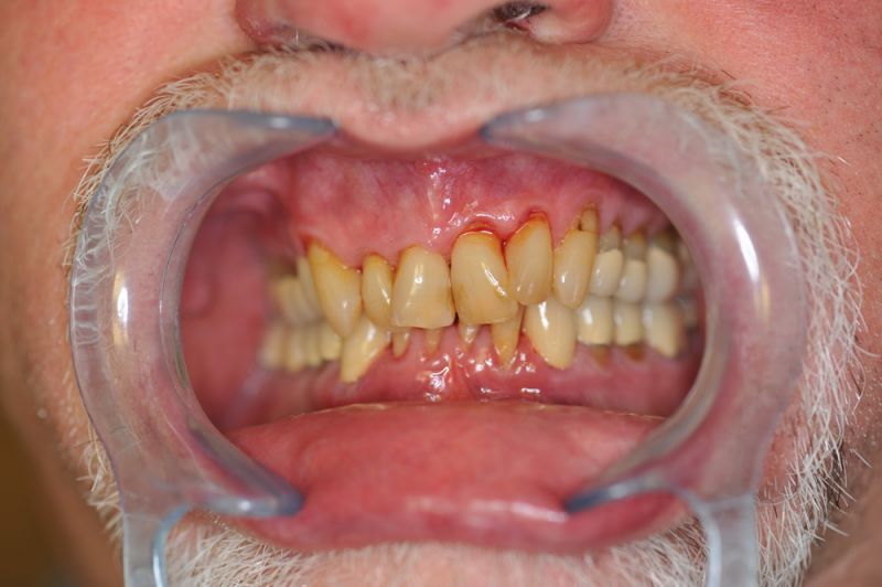
Der Patient ist vollkommen beschwerdefrei!
Es erfolgt engmaschiger vierteljährlicher Recall mit Überprüfung der statischen und dynamischen Okklusion.
Das Weihnachtsgeschenk des Patienten nach zweieinhalb Jahren zahnärztlicher Funktionsdiagnostik und -therapie.
Die zeitlich verlängerte Behandlungszeit beruht auf krankheitsbedingte Phasen des Patienten.
Trotz der langen Behandlungszeit ist der Patient glücklich, dass er die Behandlung absolviert hat, weil er seit Eingliederung des adjustierten Aufbissbehelfs vollkommen beschwerdefrei ist.
Die Idee, es könne sich bei seinen Beschwerden um die Symptome einer CMD handeln, habe er nur durch Zufall bekommen und bedauert, dass es das nicht schon viel früher gewusst habe.
So viel zur Frage, ob sich eine derart aufwändige Behandlung bei einem damals 78 jährigen Patienten überhaupt noch "lohne"!


