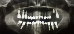
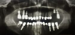
Kieler Patientin erhält neue Krone auf neuem Implantat und noch ein neues Implantat
Auf dem osseointegrierten Implantat 17 wurde heute eine neue Krone festgesetzt.
Im Anschluss daran wurde in regio 26 unter Anwendung eines bone splitting ein neues Implantat 26 inseriert.
Die Erstversorgung der Patientin resultierte aus dem Jahr 2007/8


