Kieler Patient erhält implantatgestützte Brückenversorgung
10105
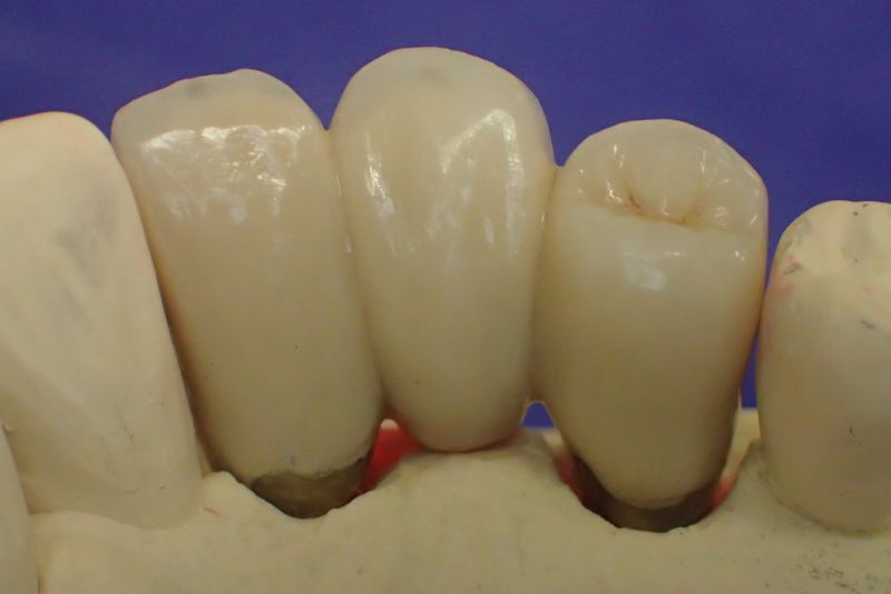
Eine kleine, aber recht anspruchsvolle und vor allem komplizierte Implantatbrückenversorgung, mit der wir sehr viel Zeit verbracht haben wird definitiv eingegliedert.
Eine kleine, aber recht anspruchsvolle und vor allem komplizierte Implantatbrückenversorgung, mit der wir sehr viel Zeit verbracht haben wird definitiv eingegliedert.