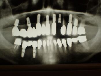
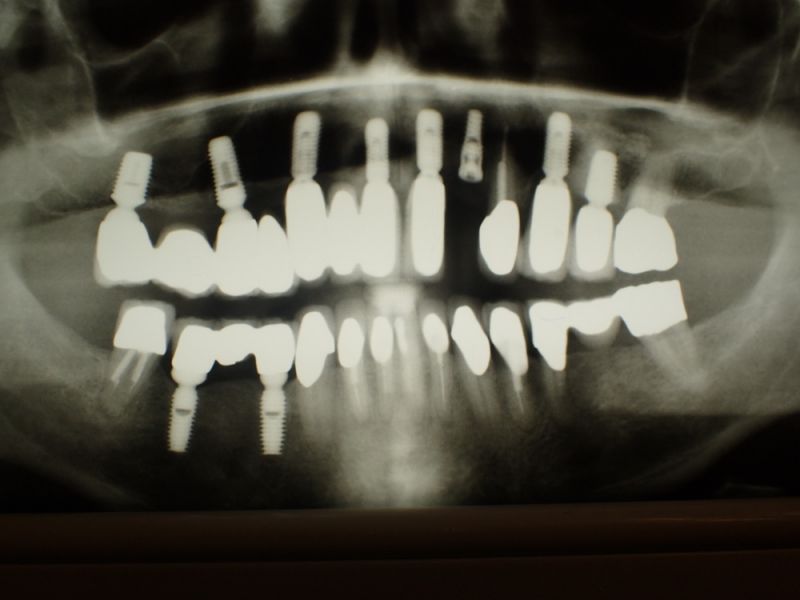
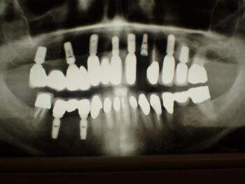
Kieler Patient erhält implantatgestützte Kronenversorgung 22
10105
Dieser Patient ist das Paradebeispiel für die Auffassung, die in diesem CMD Centrum vom ersten Tag an praktiziert wird.
Entscheidend für Beratung und Behandlung eines Patienten ist nicht Herkunft, Alter und schon gar nicht der Versicherungsstatus.
Dieser Patient ist gesetzlich krankenversichert und hat sich nach und nach inzwischen im CMD CENTREUM KIEL 10 Implantat inserieren lassen.
Das erste im Jahr 2002.
Erfahrungsgemäß bleibt der Patient, der sich einmal für eine hochwertige Versorugng entschieden hat bei dieser Überlegung und Vorgehensweise.
In diesem Fall wäre es sogar möglich gewesen auf das neue Implantat 22 zu verzichten und eine Versorgung auf den vorhandenen Implantaten zu begründen.
Das hätte aber zu einem wesentlich höheren wirtschaftlichen Aufwand geführt, weil die dann notwendige Prothetik, die von den Implantaten hätte entfernt und nachfolgend wieder neu hätte erstellt werden müssen, wesentlich teurer gekommen wäre, als ein neues Implantat mit einer neuen Krone darauf.
Auch das sind Überlegungen, die man anstellen muss, dazu aber bedarf es der Erfahrung in vielen anderen Behandlungsfällen.


