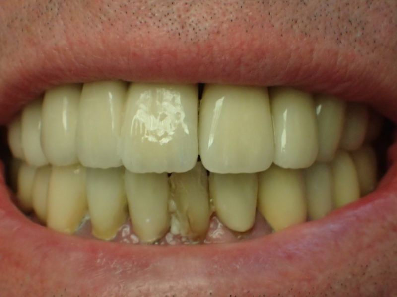
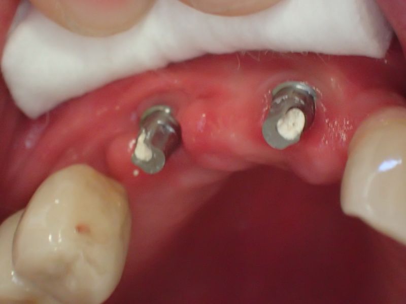
Kieler Patient erhält implantatgetragene Frontzahnbrücke
10105
Dieser Patient fällt ein bißchen aus dem üblichen Rahmen, weil die vielfachen Versorgungen hier nicht zeigtlich im Rahmen einer CMD Behandlung erbracht wurden, sondern über viele Jahre hinweg nach und nach.
Der Patient wurde von dem Praxisvorgänger übernommen und befindet sich daher seit weit über 20 Jahren hier in Behandlung.
Dieser Patient hat keine funktionellen Beschwerden und aufgrund der geschilderten Vorgehensweise war es niemals Ziel der Behandlung die bestehenden Bissverhältnisse zu untersuchen, oder therapeutisch zu verändern, weil der Patient zu den Patienten gehört, die mit einem fehlerhaften Biss, wir nennen es Habituelle Okklusion, keinerlei Probleme und Beschwerden hat.
Was man an diesem Fall gut zu erkennen vermag, dass Patienten, die für sich irgendwann entschieden haben, nicht mit einem herausnehmbaren Zahnersatz ihren Lebensabend verbringen wollen auch nach und nach auf eine Implantatpfeilerstützzahl kommen, die genügend Substanz für die Lebensphase bieten, in der körpereigene Stützsubstanz, in Form von Zähnen zunehmend verloren geht.


