Kieler Patientin erhält Brückenversorgung in der Oberkieferfront
10200
Fast sind wir heute wieder vom Blitz getroffen worden.
In diesem Fall ist ja schon mehr als einmal ein zahnärztlicher Albtraum wahr geworden.
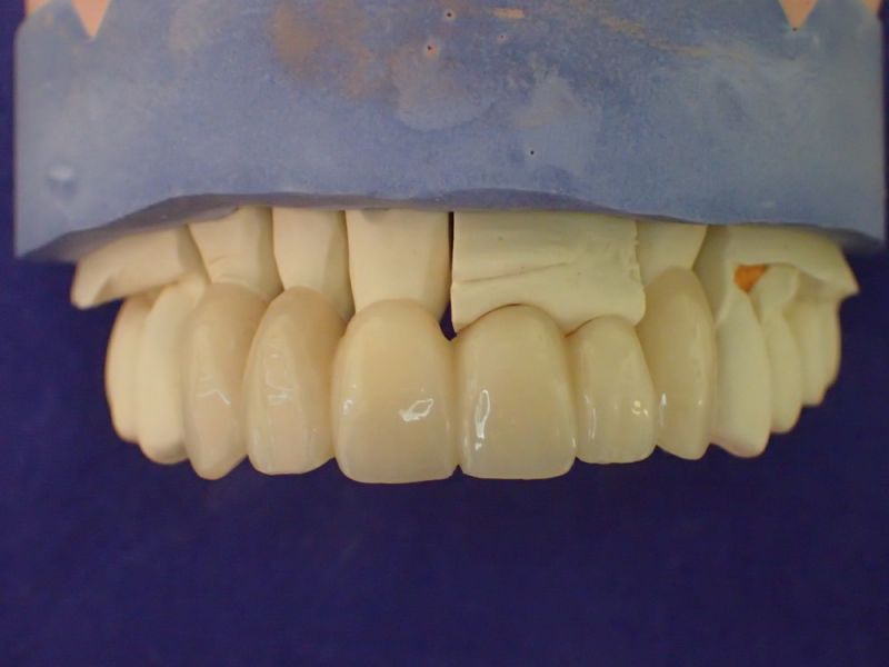
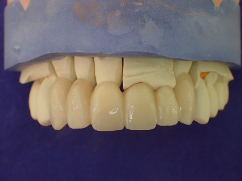
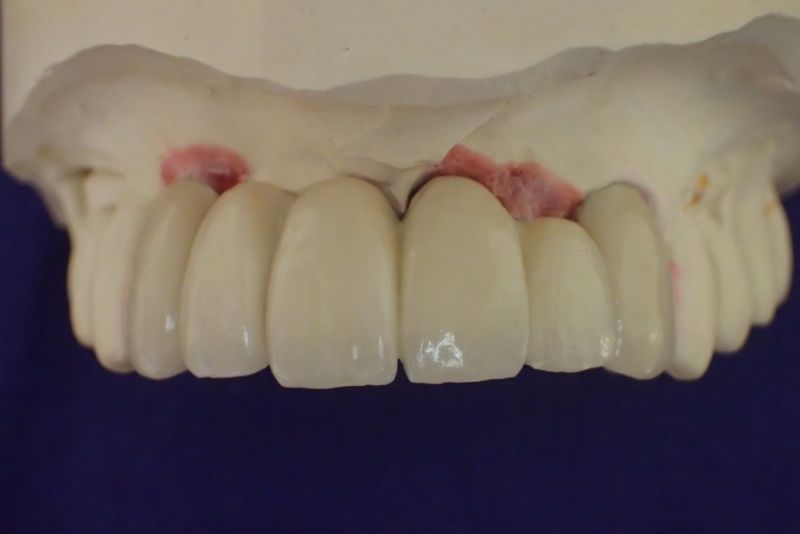
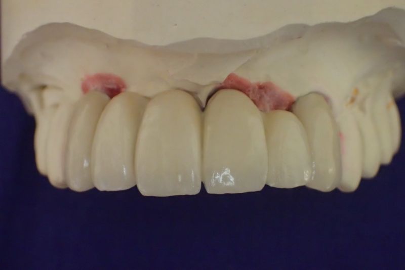
Nun aber schien alles zur endgültigen Eingliederung der implantatgestützten Oberkieferfrontzahnbrückenversorgung bereit.
Die Patientin ist gestürzt, hat ein Hämatom im Gesicht und der Zahn, genauer die vollkermaische Krone 24 ist frakturiert und muss erneuert werden.
Zum Glück, wir klopen dreimal auf Holz, war Zahn 23 nicht beteiligt, son dass heute, nach vielen Monaten des Wartens endlich die heißersehnte Brückenversorgung definitiv zementiert werden konnte.


