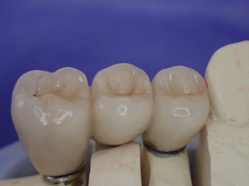
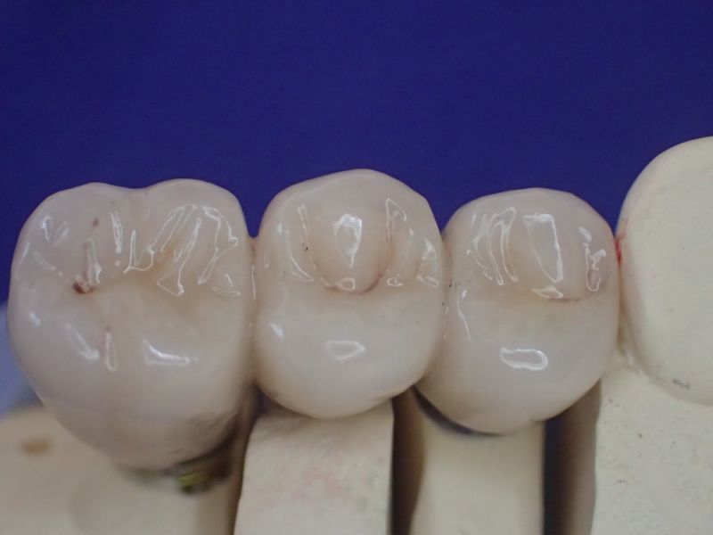
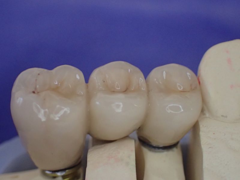
Kieler Patientin erhält implantatgestützte Brückenversorgung
10403
Zur Wiederherstellung der rechten Stützzone wird eine implantatgestützte Brücke eingegliedert und die Patientin hat nach längerer Zeit wirder das Gefühl der eigenen Zähne im Mund.