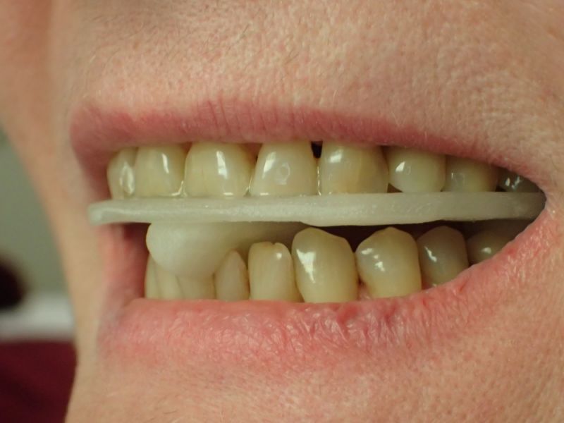
Kieler Patientin zur Eingliederung eines adjustierten Aufbissbehelfs
13771
Die Patientin erhält einen adjustierten Aufbissbehelf zur kausalen Diagnostikabklärung.
Eine recht typische Situation, die regelmäßig vorkommt: Gerade heute geht es der PaAtientin einmal gut.
Kein Problem, denn dann ist die Aufgabe des Aufbissbehelfs, dass es gut bleibt und nicht schlechter wird, jedenfalls so lange bis der Aufbissbehelf getragen wird.


