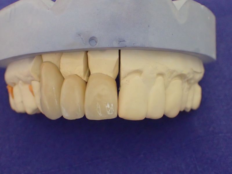
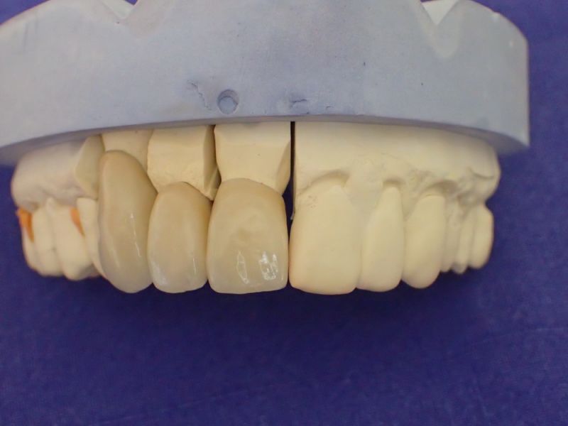
Langjährig rekonstruierter CMD Patient aus Kiel erhält eine Frontzahnbrücke
11382
Nach etlichen Jahren eine herausnehmbar teilprothetischen Versorgung ist der Patient nun wieder im siebten Himmel, dank einer definitiven Zahnersatzversorgung in der Oberkieferfront, im Sinne einer Brückenversorgung.


