19.07.2022 08:30
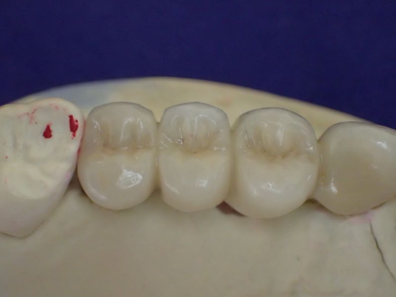
Es hat lange gedauert, aber dafür sitzt die implantatgestützte Freiendbrückenversorgung bei dem Patienten perfekt.
Einen anderen Begriff gibt es dafür nicht.
Zurück