Langjährig rekonstruierter Kieler CMD Patient im Recall
10663
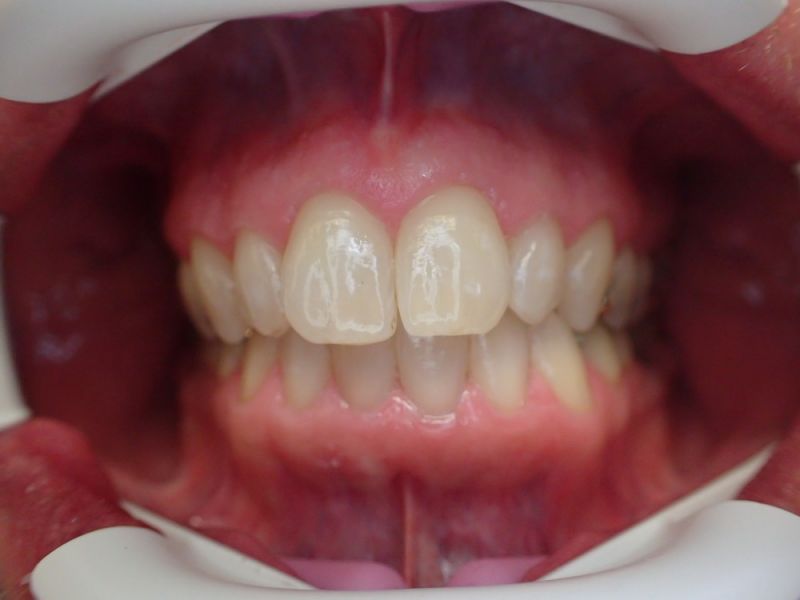
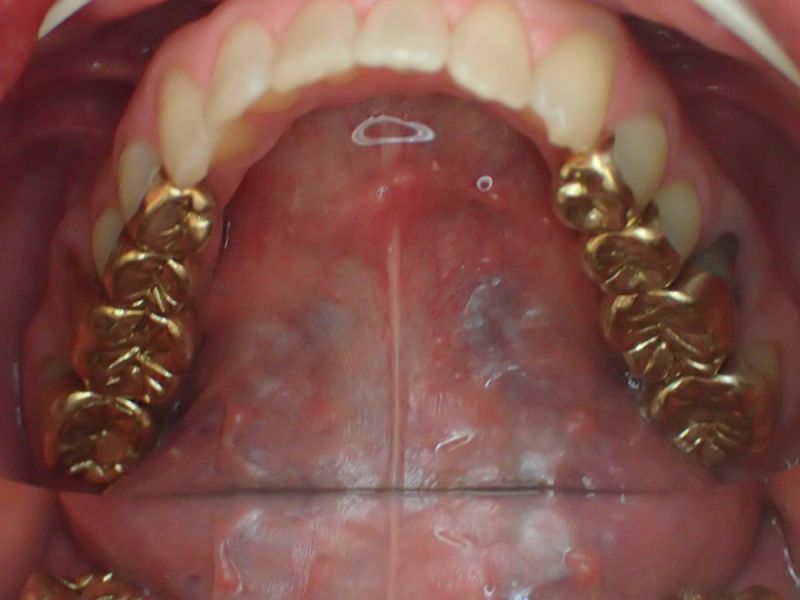
Der Patient war eine zeitlang nicht im regelmäßigen Recall, jetzt aber wieder.
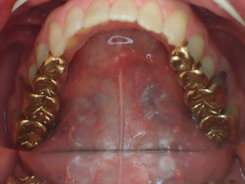
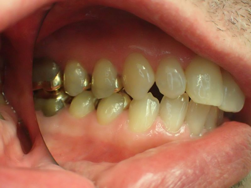
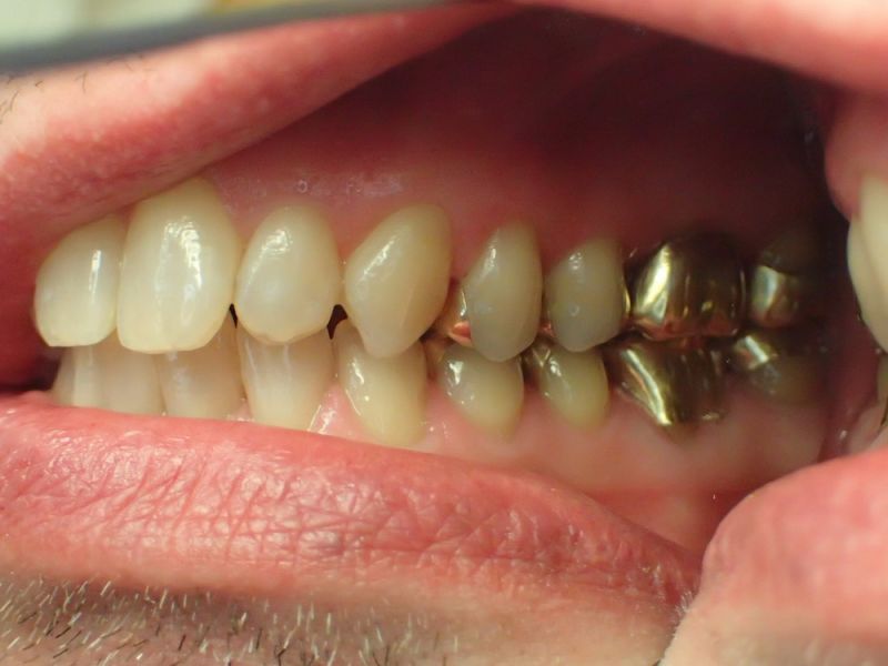
Alles ist entzündungs- und funktionell beschwerdefrei.
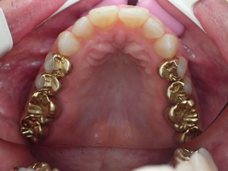
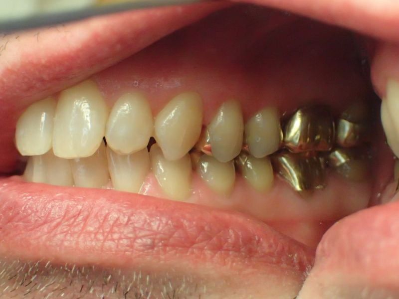
Hier handelt es sich noch um eine Versorgung aus der Zeit hochgoldhaltiger Legierungen. Auch heute noch die Benchmark, aber nicht mehr bezahlbar.
Zu der Zeit, als diese Versorgung erstellt wurde kostete das Gramm Gold größenordnungsmäßig ca. 18 DM/Gramm. Umgerechnet 9€/Gramm.
Heute kostet das gleiche Gold zwischen 50 und 60 Euro/Gramm.
In eine Teilkrone fließen gut und gerne 4 bis 6 Gramm Gold inclusive Fräsverlusten. Bei Implantatkornen können es auch leicht über 10 Gramm pro Krone sein.
Daher eine Versorgung aus den Analen des CMD CENTRUM KIEL. Immer noch up to date und auch heute noch die erste Wahl in der Behandlung funktionsgestörter Patienten, aber eben genauso gut unbezahlbar geworden.


