Langjährig rekonstruierter Kieler CMD-Patient zur PAR-Behandlung
11382
Über 30 Jahre Berufserfahrung, aber so etwas habe wir auch noch nicht gesehen.
Die Kronen sind inzwischen 30 Jahre im Munde des Patienten und alles ist gut.
Der Patient kommt regelmäßig alle viertel Jahre zum Recall und es passiert nichts aufregendes.
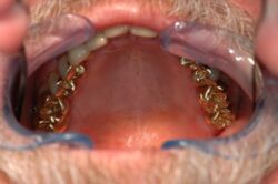
Auf eimal aber ziegen sich deutliche Zahnfleisch Taschen und es kommt Pus aus dem Gewebe.
Also erfolgt eine Parodontalbehandlung maltbewöhrter Art und es zeigt sich was der Vorteil dieser "altbewährten Techniken" ist.
Man siehr mit dem Auge wo das Problem ist.
Das Problem ist hier deutlich zu sehen, ohne dass auch nur im Ansatz klar wäre, wie das Problem zustande gekommen ist.
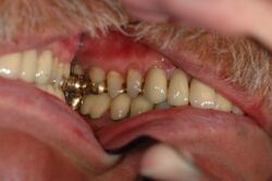
Zwischen den Kronenrändern und dem Zahn, oder anders ausgedrückt unter den Kronenrändern hat sich zirkulär herum eine regelrechte Schneide gebildet, so als ob Jemand mit einem Seil den Zahn unter dem Kronenrand über viele Jahre weg geschliffen hätte.
Selbst wenn man schon vielo gesehen hat, steht man regelrecht ratlosi vor einer derartigen Situation.
Das kann so auf keinen Fall bleiben, denn bisher ist dort noch nicht einmal Kariesn zu sehen, was sich aber jetzt, da die Defekte oerhalb des Zahnfleisches liegen sehr schnell ändern dürfte.
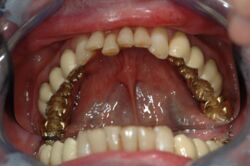
Die gleiche Situation liegt an den Unterkieferkronen 4, 5 und 6, beidseitig vor.
Wiederum nicht an den Oberkieferseitenzähnen und auch nicht an den Vollgoldkronen 37 und 47.
Das ist der Zustand im Mai 2010
Man kann an dem weißlich, straff gestippelten Zahnfleisch im Bereich der Unterkieferseitenzähne erkennen, dass hier keinerlei Entzündung vorhanden ist. Dieser Zustand ist bei Kronenversorgungen nur dann gegeben, wenn die Kronen einwandfrei sitzen.


