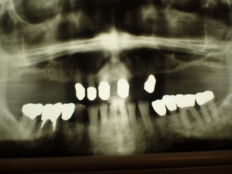
Langjährige Kieler Patientin erhält neue Unterkieferfrontzahnbrücke
10548
Ein bißchen hats gedauer, dafür ist die Patienitn mit dem Ergebnis umso zufriedener.
Die Oberkieferteleskoparbeit hat die Patientin inzwischen fast 25 Jahre im Mund und die Unterkieferfronzahnbrücke könnte das ebenfalls erreichen.


