Langjähriger Kieler CMD-Patient zur Zahnentfernung 26
10663
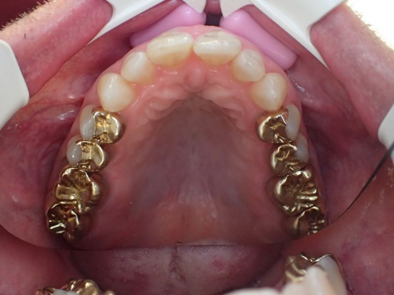
Wenn man den Patienten bei einer Zahnentfernung und dem damit verbundenen Extremwürgereiz erlebt, dann fragt man sich schon, wie man damals eigentlich 22 Vollkeramikeen und Hochgoldversorgungen, das Ganz in einer Präzision im Mikrometerbereich in den Mund dieses Patienten eingebaut bekommen hat.
Wir wissen es nicht und deshalb wird in diesem Fall der Versuch unternommen die eingestellte Bisslage mit Standardmitteln zu erhalten.
In Kürze soll der entfernte Zahn 26 durch eine Brückenversorgung ersetzt werden.
Die vorhandenen Versorgungen sind inzwischen ausnahmslos 25 Jahre im Mund des Patienten in Funktion.


