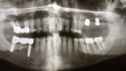
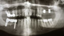
Langjähriger Kieler Patient mit Zahnentfernungen und Implantationen
11332
Der Patienjt ist schon lange hier in Behandlung, wartet manchmal ein bißchen zu lange, aber dann.
Heute wurden die Zähne 25 und 28 osteotomiert, denn so richtig zum Anfassen mit einer Zahnge war da nichts mehr.
Dann wurde in die Alveole 25 und in den Bereich 27 jeweil ein Implantat inseriert. In regio 25 im Sinne eines Internen Sinusliftes mit minimaler Anhebung der Kieferhöhlenmembran.


