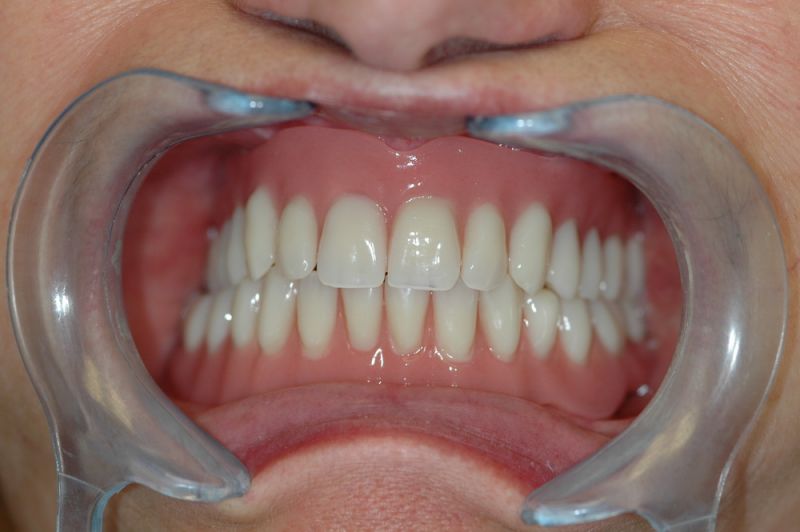
Nach vier Jahren Nutzung Komplettaufbau der Okklusion an Teilprothetischem Zahnersatz
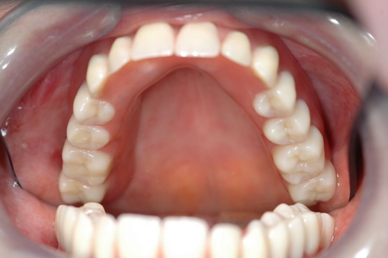
Ein typisches Phänomen aller teilprothetischen und totalprothetischen Rekonstruktionen. Entgegen allen anderslautenden Beteuerungen entsprechen Kunststoffzähne nicht den Anforderungen, was Abrasivität betrifft, wie eigene Zähne. Dies führt in aller rEgel schon nach allerkürzester Zeit dazu, dass der Biss "verloren "geht. Irgendwann mit einer Latenzzeit beginnen dann beim Patienten funktionelle Beschwerden, u.a. Kiefergelenkgeräusche, Kopfschmerzen, etc. So auch bei dieser Patientin. Der Wiederaufbau der Prothesenzähne unterliegt den gleichen hohen Anforderungen.
Wie man an diesen Bildern erkennen kann, sehen die Zähne der funktionstherapeutischen Rekonstruktion auf den ersten Blick nach vier Jahren Nutrzung noch sehr gut aus.
Trotzdem liegen erhebliche Störungen der statischen Okklusion vor, die bei dieser Patientin zu funktionellen Beschwerden wie Verspannungen und Schmerzen führen.


