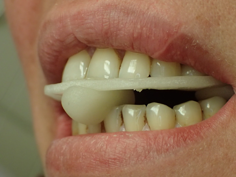
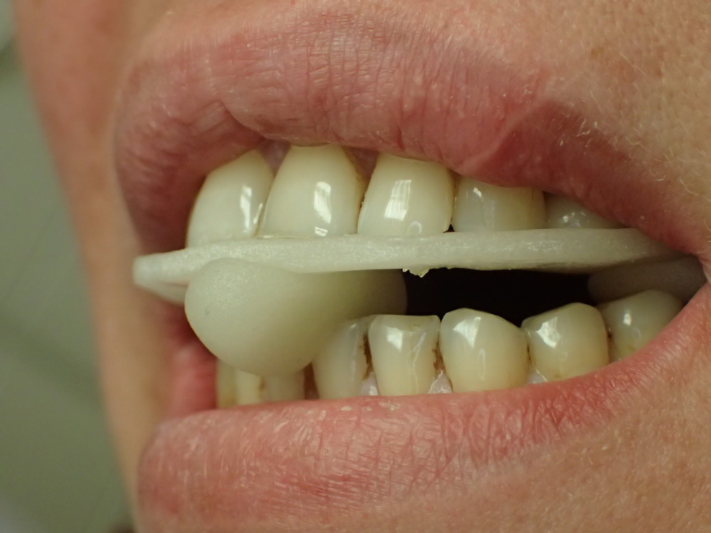
Neue Patientin aus Flensburg er hält adjustierten Aufbissbehelf zum Nachweis einer CMD
13926
Es erfolgt die Eingliederung des Aufbissbehelfs und nachfolgend die Einstellung der statischen und dynamischen Okklusion, im Bereich weniger Mikrometer.
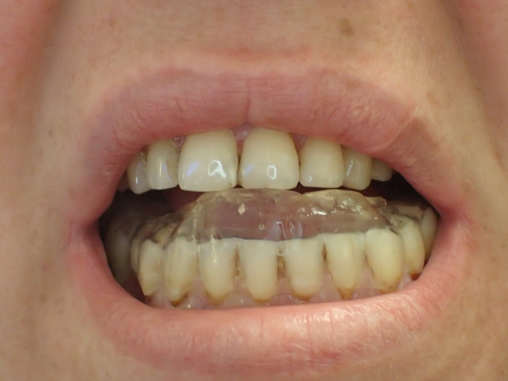
Erste Rückmeldungen der Patientin.
Bisher hätt noch nie ein Aufbissbehelf fest auf den Zähnen gesessen, sie hätte diese immer mit der Zunge vom Zahnlager hochdrücken können.
Der Biss sei seitengleich und eine interfernzfreie dynamische Okklusion kannte die Patientin bis heute nicht.
Der Beschwerdelvel, der bi 10 lag, lag eine halbe Stunde nach der Eingliederung des Aufbissbehelfs bei 7.
Die Patientin beschreibt stärkerer Veränderungen im Berich der muskulären Verspannungen im linken Halsbereich.


