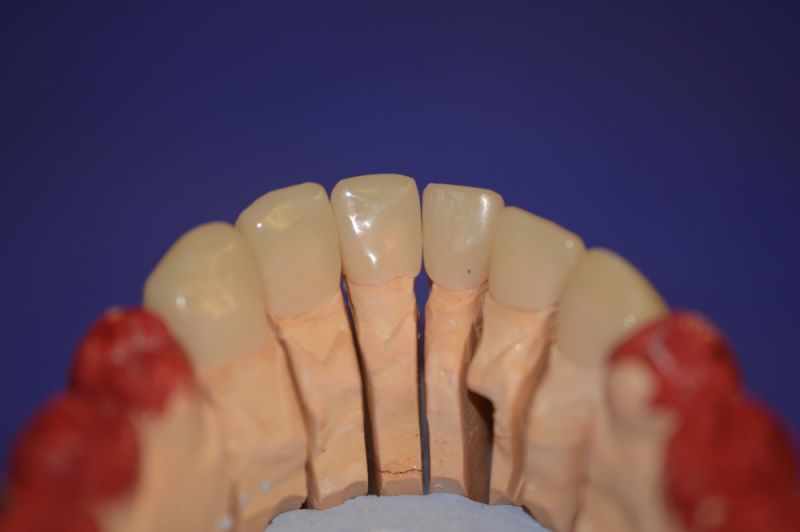
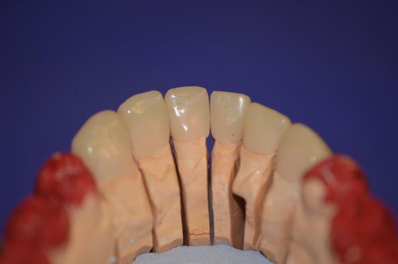
Patient aus Berlin erhält Laborgefertigte Dauerprovisorien
13082
Jeder CMD-Fall ist auf seine Art schwierig.
Dieser noch einmal auf eine andere Weise, weil der Patient nicht nur sehr große Angst hat, mit der er aber sehr gut umgeht, sondern doe vorhandene Restzahnsubstanz nicht nur extrem stark zerstört ist, sondern der Patient auch noch einen extremen Muskeltremor hat.
Heute erfolgt nicht nur die Eingliederung von Laborgefertigten Dauerprovisorien in der Oberkiefer und Unterkieferfront, sondern auch umfangreiche feinokklusale Einstellungen der statischen Okklusion.


