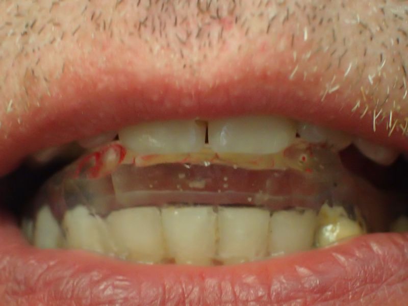
Patient aus Bielefeld erhält den zweiten Aufbissbehelf
13561
Es ist, wie meist, wenn ein neuer Aufbissbehelf eingegliedert werden soll, zum Beispiel weil der Patient sich in seiner Entscheidungsfindung noch nicht ganz sicher ist.
Man weiß in aller Regel beim zweiten Mal besser, wo die patientenindividuellen Probleme lauern in der Herstellung und Eingliederung eines adjustierten Aufbissbehelfs.
Es erfolgen Abformungen und Registrierungen der Bisslage.
Am Ende der Diagnostik des ersten Aufbissbehelfs, der sich nunmehr mehrere Monate im Munde des Patienten befand, hat der Patient dann wieder "Eigenmaßnahmen" ergriffen, wie zum Beispiel das Unterfüttern des Aufbissbehelfs mit Zellstoff.
Das Problem dabei ist allerdings, dass man gar nicht genau herausfinden kann, was der Zellstoff unter einem Teil des Aufbissbehelfs bewirkt hat, weil der Aufbissbehelf eben nicht nur an dieser Stelle höher wird, sondern insgesamt auf der Zahnreihe verkippt, was in ganz anderen Regionen des Aufbissbehelfs einer Veränderung bewirkt haben kann. Denn genau das beschreibt der Patient, hat die Maßnahme für ihn bewirkt. Dabei ist dem Patienten klar, dass derartige Eigenmaßnahmen keine Lösung seines Problem bedeuten.
Letzten Endes kristallisiert sich zunehmend das Problem heraus, dass der Patient unabhängig von den laufenden funktionellen Überlegungen eine prothetische Sanierung benötigt, um die Funktionsfähigkeit seines Kauorgans zu erhalten.
Insofern lässt sich mit dem Aufbissbehelf, angesichts der vorhandenen klinischen Situation zwar eine kausale Nachweisdiagnostik führen. Das, was der Patient aber gerne möchte, mit dem Aufbissbehelf weitgehende Beschwerdefreiheit erwirken, wird aber nicht funktionieren. U.a. deshalb nicht, weil der Aufbissbehelf niemals über Wochen und Monate getragen werden kann, ohne heraus genommen zu werden.


