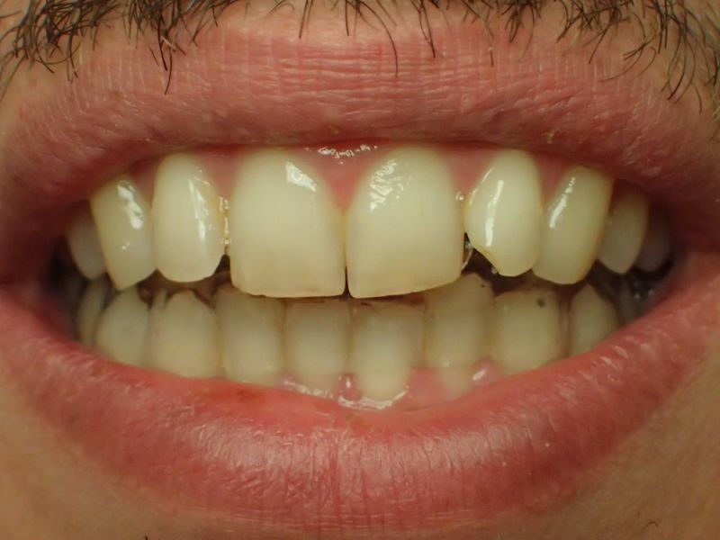
Patient aus der Region Niebüll erhält einen adjustierten Aufbissbehelf
13560
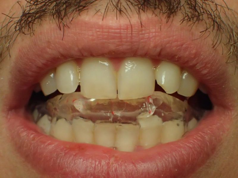
Es erfolgt die Eingliederung und feinokklusale Kontrolle des adjustierten Aufbissbehelfs im Munde des Patienten.
Es erfolgt die Eingliederung und feinokklusale Kontrolle des adjustierten Aufbissbehelfs im Munde des Patienten.