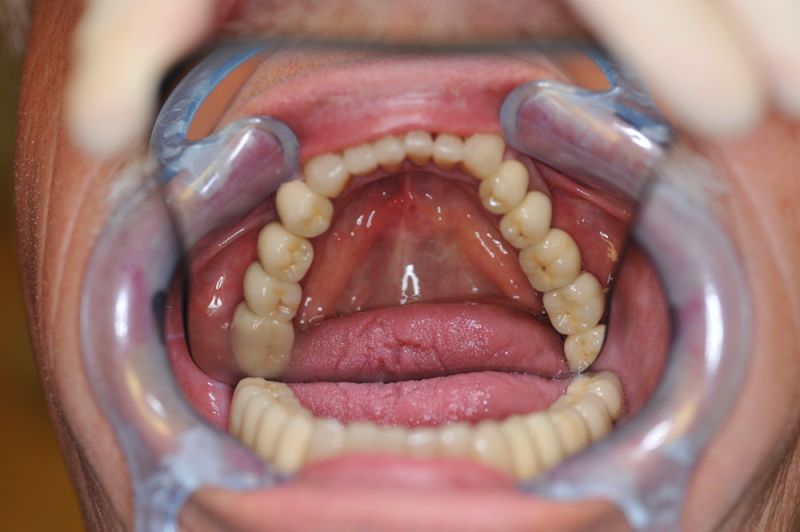
Patient aus der Region Ostholstein zur Abschlussuntersuchung
11266
Jede Rekonstruktion findet einmal ein Ende. So auch diese. Der Patient ist zufrieden, die Arbeit sieht gut aus!
Wie gehabt: Vierteljährlicher Recall, um die Arbeit möglichst lange zu erhalten.
Der Patient betreibt eine gute Mundhygiene. Der Patient ist in einem sehr guten, vitalen Zustand und hat jetzt noch einmal die Substanz geschaffen, um mit dieser Versorgung möglichst bis ans Lebensende zu kommen.
Aus unserer Sicht ist das ein sinnvolles Vorgehen im Rahmen einer "Alterszahnheilkunde", die einem Patienten den höchstmöglichen Komfort verschafft, was die Funktionsfähigkeit seines Kauorgans betrifft.
Es kann allerdings nicht unangesprochen bleiben, dass diese Versorgungen nur dann möglich sind, wenn ein Kostenträger bereit steht, diese aufwändige Form zahnärztlicher Behandlung zu bezahlen, oder aber der Patient bereit ist die erforderlichen Mittel selbst zu tragen.
Mit "Gesetzlicher Krankenversicherungszahnheilkunde" hat das nichts zu tun".
Der Aufwand, der auch in der Nachbehandlung erfolgen muss ist im Vergleich zu den Entstehungskosten einer derartigen, mehrjährigen Totalsanierung des Kauorgans derart gering, dass es nicht lohnt darüber auch nur nachzudenken!


