Patient aus Uelzen zum Recall

11347

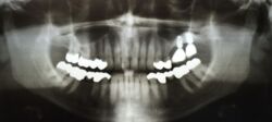
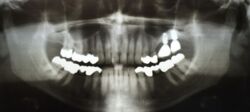
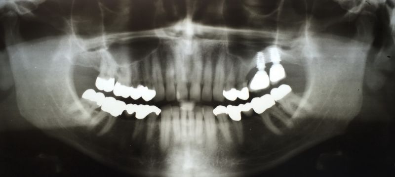
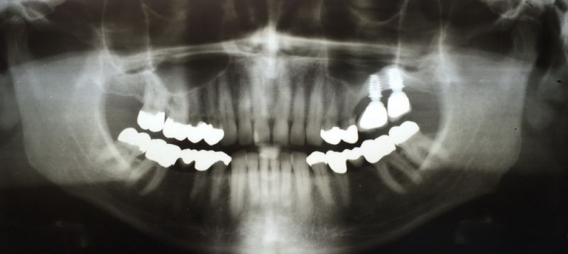
Auch bei diesem Patienten gibt es wenig zu berichten. Die Versorgung befindet sich seit 1992, als inzwischen 24 Jahren, im Munde des Patienten.

Zurück