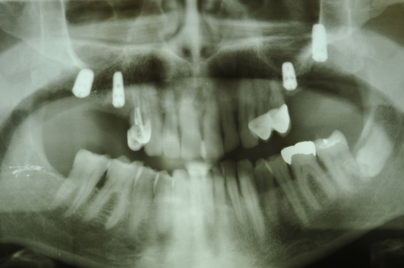
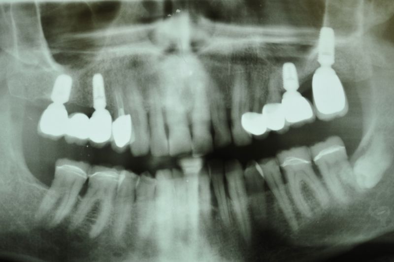
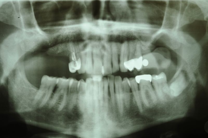
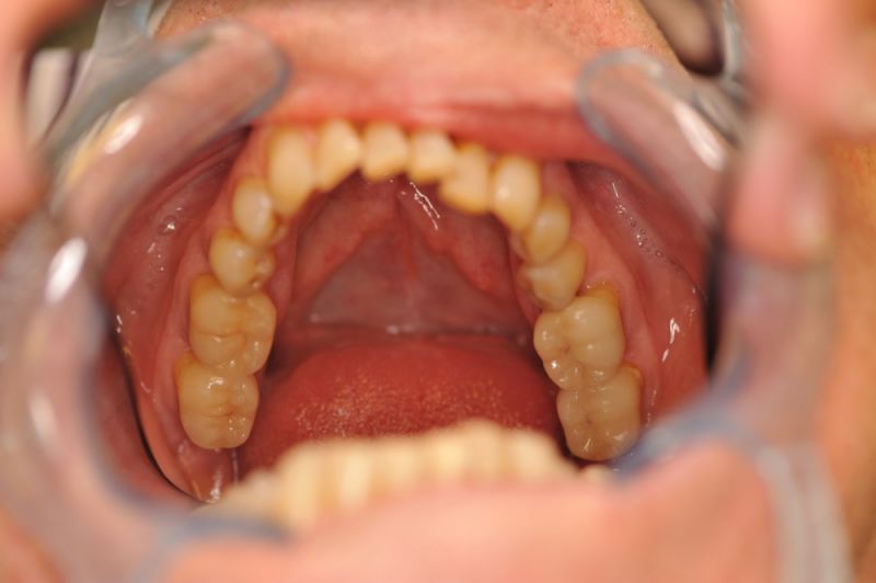
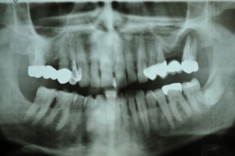
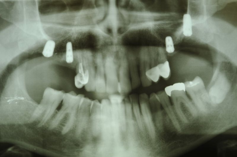
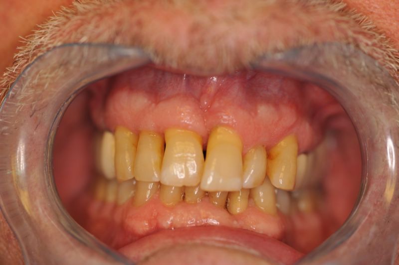
73 jähriger CMD-Patient im Recall
Der Patient hat vor 5 Jahren eine äußerst umfangreiche und komplexe CMD-Behandlung abgesclossen und befindet sich seitdem in einem engmaschigen vierteljährlichen Recall!
Seit 5 Jahren ist der Zustand des Patienten vollkommen unverändert!
Die aktuellen Taschentiefen liegen bei 2 Millimeter! Auch im Bereich der Implantate!
Auch in diesem Fall zeigt sich, dass es gerade bei älteren Patienten sinnvoll ist umfangreiche, festsitzende Versorgungen umzusetzen, so lange sich der Patient noch in einer gesundheitlich guten Konstitution befindet, um dann für die kommenden Lebensjahre Substanz vorzufinden, mit der man "arbeiten" kann.
Das Allerwichtigste bleibt aber der engmaschige, vierteljähliche Recall, der aus mehr besteht, als nur einem Zahnsteinentfernen! Wichtig ist die fortlaufende Dokumentation der verschiedenen Parameter der parodontalen Gesundheit und genauso wichtig eine Röntgenkontrolle etwas alle ein bis eineinhalb Jahre.


