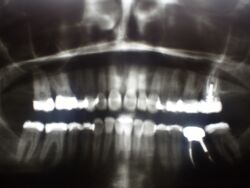
Patientin aus Berlin zur Kontrolle der Okklusion
13432
Gemessen am Umfang der Versorgung sind die Okklusionskorrekturen gering, die Patientin aber auch sehr okklusionssensibel.
Deshalb werden umfangreiche Kontrollen der statischen und der dynamischen Okkluson durchgeführt und vorrangigt das notwendige Spiel georüft und im Bereich weniger Mikrometer eingestellt, dass die Bisslage eines CMD Patienten benötigt.


