Patientin aus Ostholstein erhält adjustierten Aufbissbehelf
13676
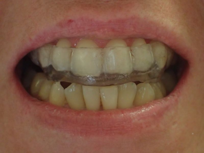
Ein Oberkieferaufbissbehelf wird eingegliedert und widerholt kontrolliert und feinkorrigiert.
Schon nach einer Stunde gibt die Patientin eine Veränderung des Beschwerdelevels von 9 auf 7 an.
Sollte es gelingen die Kausalität des Falles nachzuweisen bestehen eine Vielzahl von Möglichkeiten der weiteren Behandlung, wenn sich herausstellen sollte, dass die Patientin nicht in der Lage ist eine Kausaltherapie durchführen zu lassen.
Alle Bemühungen werden sich dann daran ausrichten mit dauerprovisorischen Versorgungsformen die Arbeitsfähgikeit der Patientin, und damit die Möglichkeitkeit der Schaffung wirtschaftlicher Ressourcen zu ermöglichen.


