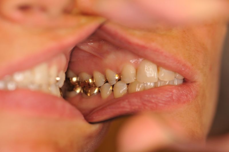
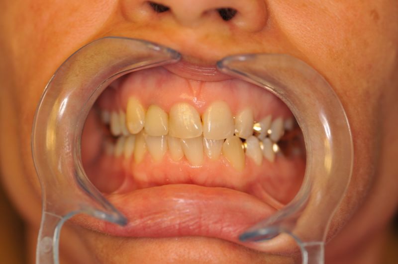
Patientin aus Uelzen zum Recall

11346

Wir würden gerne mal was Neues zeigen, es gibt nur nichts Neues.

Die Arbeit befindet sich seit 23 Jahren unverändert im Munde der Patientin!

Zurück